Management of Endodontic Infections: Prescribing Guidelines and the Risks of Clindamycin

Abigail Baldwin, DMD candidate; Brooke Blicher, DMD; Jarshen Lin, DDS; and Rebekah Lucier Pryles, DMD

June 2022 Issue - Expires Monday, June 30th, 2025

Compendium of Continuing Education in Dentistry

Abstract

Clindamycin is frequently prescribed for the management of orofacial infections. That said, its strong association with Clostridium difficile infections and subsequent pseudomembranous colitis, a serious condition associated with high morbidity and mortality, warrants reconsideration of its common utilization. Other antibiotics, such as penicillins, macrolides, and cephalosporins, are effective in managing most endodontic infections while also posing a significantly lower risk of opportunistic infection by C. difficile. Because of these risks, as well as its black box warning from the US Food and Drug Administration, clindamycin is no longer recommended as first-line treatment for penicillin-allergic patients for managing dental infections or for antibiotic premedication. The purpose of this article is to discuss the risks of clindamycin outlined in recent studies and review the current literature-based prescribing guidelines in order to aid clinicians in making optimal treatment decisions for their patients.

You must be signed in to read the rest of this article.

Login Sign Up

Registration on CDEWorld is free. You may also login to CDEWorld with your DentalAegis.com account.

While clindamycin is frequently utilized to manage endodontic infections, its use is associated with risk. Clindamycin became widely used following the rise of antimicrobial resistance in recent decades due to its reputation as a highly effective antibiotic that could manage even the most persistent and resistant infections. That said, recent decades have seen the continued overuse of all antibiotics by medical and dental professionals, leading to increased drug resistance and the emergence of life-threatening superinfections.1 Resultantly, infections resistant to even clindamycin became common.

Historically, clindamycin represented the first-line antibiotic in penicillin-allergic patients for management of endodontic infections and for premedication in patients at high risk of endocarditis.2-4 It was effective against the beta-lactamase-resistant microbes, often the causative agents in many persistent infections.5 Clindamycin also gained popularity because of its ability to penetrate bone and reach high concentration therein, rendering it potentially more effective at eliminating severe infections than other drugs.6,7 Because of these advantages, some providers even chose clindamycin as the first-line drug to manage infections. However, recent systematic reviews and meta-analyses of clindamycin usage have highlighted the serious risks associated with the drug. Conversations surrounding these risks have prompted the development of new guidelines for antibiotic use.

The US Food and Drug Administration (FDA) ascribed a black box warning to clindamycin due to its associations with Clostridium difficile infections and pseudomembranous colitis.8 Governing bodies like the American Heart Association (AHA) and American Association of Endodontists (AAE) are taking heed of this warning.9,10 As a result, clindamycin is no longer recommended as the first-line agent for penicillin-allergic patients for managing dental infections or premedication for cardiac conditions.10,11 In 2019, the AAE revised its prescribing guidelines for endodontic infections,10 and in 2021, the AHA issued advice to remove clindamycin as the first-choice antibiotic.11 Despite these modifications in clinical guidance, clindamycin remains the drug of choice for many prescribers, likely because of its historic popularity.11 Its use is not absolutely contraindicated, and there may be certain situations in which prescription of clindamycin is appropriate; however, clinicians should give thoughtful consideration to alternative drugs that may represent safer options.

This article discusses how clindamycin rose to be one of the most frequently prescribed antibiotics for endodontic infections and why its associated risks should dissuade clinicians from using it as a first- or second-line drug. It concludes with clear strategies for evidence-based applications for antibiotics in the management of endodontic infections.

Antibiotics in Endodontics

Prudent antibiotic prescription practices are essential to prevent further increases in antimicrobial resistance, allergies, and dangerous opportunistic infections. Few true indications exist for the prescription of antibiotics in the management of endodontic infections. According to recent guidelines from both the AAE and American Dental Association, antibiotics should be administered in cases of infection with signs of systemic involvement, such as lymphadenopathy, fever, malaise, or trismus, and in patients who are immunocompromised.9,10 Antibiotics should also be used in cases of acute apical abscess when definitive treatment, such as endodontic therapy, incision and drainage, or extraction, is not immediately available. Additionally, antibiotics should be utilized in cases of osteomyelitis, cellulitis, or rapid progression of an infection within a 24-hour period.9,10 In all of these cases, antibiotics do not replace definitive therapy, nor are they pain relievers; antibiotics are only recommended as an adjunct to proper and expedient dental treatment.

In most cases of endodontic infection, antibiotic use is neither necessary nor appropriate. Chronic apical abscesses with sinus tracts do not warrant antibiotic use. Localized, acute abscesses do not require antibiotics when definitive treatment is available. Antibiotics are not indicated in cases of symptomatic irreversible pulpitis or pulp necrosis with symptomatic or asymptomatic apical periodontitis.9 In any of these cases, antibiotics should be used only if systemic signs of infection are present or when a patient is medically compromised, as guided by the patient's medical providers. Oral analgesics, namely ibuprofen and acetaminophen, represent the gold standard for managing endodontic pain, and their use is usually indicated over antibiotics.12 The majority of endodontic infections are most effectively and safely managed without antibiotics (Figure 1).

Clindamycin

Pharmacology

Clindamycin has been a popular option for clinicians in managing endodontic infections that warrant systemic antibiotic therapy. It is a broad-spectrum, bacteriostatic drug that inhibits bacterial protein synthesis and is effective against aerobic, anaerobic, and beta-lactamase-resistant microbes. Its half-life is approximately 2.4 hours, and it is usually prescribed at a dose of 300 mg every 6 hours for 3 to 7 days to manage endodontic infections in adults.8,10That said, based on the size of the patient, dosages may range from 150 mg to 450 mg orally every 6 to 8 hours, not in excess of 1.7 grams per day.

Possessing a high oral bioavailability, clindamycin reaches peak plasma concentration within 1 hour of administration and is widely distributed throughout the body.4 Its spectrum of activity is appropriate for dentoalveolar infections. In a 2005 analysis, it inhibited close to 100% of microbial isolates from endodontic infections at the concentration reached after a normal therapeutic dose of 300 mg.13 In a 2019 institutional analysis of microbial isolates from odontogenic infections, 100% of aerobic organisms and 63% of mixed organisms (aerobic and anaerobic) were sensitive to clindamycin.14 Despite these advantageous qualities, use of clindamycin as a first- or second-line drug should be re-evaluated due to its association with C. difficile-induced colitis.

Clindamycin and C. difficile Infection

C. difficile is a gram-positive, anaerobic, spore-forming bacillus that produces toxins that cause colitis. C. difficile superinfections develop when oral antibiotics wipe out protective gastrointestinal flora, resulting in overgrowth of C. difficile within the intestines. Recent data from the Centers for Disease Control and Prevention reports that about 500,000 cases of C. difficile in fection are diagnosed in the United States annually, 41% of which are acquired from the community rather than nosocomially. Infection-related mortality for C. difficile infection has been reported between 0.8% and 5%.9,15,16 The most significant risk factor for C. difficile infection is antibiotic use. Studies on C. difficile in recent years have focused on elucidating which antibiotics are most likely to cause this life-threatening infection.

The literature on this topic is evolving. In 2005, a highly influential paper by Brook et al argued that the risks of colitis associated with clindamycin were overstated, pointing to earlier studies showing similar risk profiles for other common antibiotics and a low overall incidence of infection in outpatient settings.13,17-19 Following this, many clinicians continued prescribing clindamycin. However, newer evidence has continued to link clindamycin with C. difficile infection. In 2012, an animal study found that only a single dose of clindamycin significantly altered the intestinal microbiota of mice for at least 28 days, leaving them at risk for developing colitis for at least 10 days after antibiotic exposure.20 Two different meta-analyses conducted in 2013 investigated risk factors for community-associated C. difficile infection and found that the risk of developing colitis was clearly greatest with clindamycin in comparison to all other commonly prescribed antibiotics, such as fluoroquinolones, cephalosporins, macrolides, and penicillins.21,22

In another systematic review and meta-analysis of multiple randomized controlled trials examining C. difficile infection after systemic administration of various antibiotics, clindamycin was found to be associated with more episodes of colitis than either cephalosporins or penicillins.23A 2015 investigation of adverse drug reactions (ADRs) following outpatient prescriptions for antibiotic prophylaxis found that clindamycin was associated with significant rates of both non-fatal and fatal ADRs related to C. difficile infection.24 Another retrospective study published in 2019 analyzed ADRs following prescriptions of antibiotics by dentists. This study found that clindamycin had the worst ADR profile of all antibiotics prescribed by dentists; clindamycin was 15 times more likely to cause an ADR than amoxicillin and 30 times more likely to cause a fatal ADR, usually related to C. difficile infection. Clarithromycin and metronidazole were reported to have the next-worst ADR profiles, but they were still three times and five times less likely, respectively, to cause an ADR when compared to clindamycin.25

Ultimately, although C. difficile infections can occur secondary to overuse of any antibiotic, the evidence connecting clindamycin to C. difficile infections is particularly strong and backed by the highest quality and most updated research. The updated AAE guidelines (2019) and AHA statement guidance (2021) were developed in consideration of the existing FDA black box warning on clindamycin and in response to the new findings outlined above.8,10,11

Updated Prescribing Guidelines

In general, for infections that warrant systemic antibiotic prescriptions, a systematic approach to prescription is essential. Clinicians should start by prescribing the narrowest-spectrum drug possible for the shortest duration in order to specifically target the pathogenic species while minimizing effects on normal flora. The best choices for initial treatment in the non-penicillin-allergic population are penicillin VK and amoxicillin. For infections that do not resolve with these medications within 48 hours, clavulanic acid in combination with amoxicillin (Augmentin®) can be considered as an alternative drug. Alternatively, metronidazole can be added to a beta-lactam regimen if the infection does not resolve. In penicillin-allergic patients, azithromycin or a cephalosporin should be used as first-line agents (Figure 2 through Figure 4). Current clinical guidelines advise that cephalosporins should only be used if the patient does not have a history of anaphylaxis or angioedema with penicillin due to potential cross-allergenicity between these two drugs.26 If an infection is unresponsive to these first- and second-line choices, clindamycin should be considered as the final, broad-spectrum option (Figure 5).10

When considering clindamycin, clinicians must understand the risk factors for C. difficile infection as well as prevention strategies (Figure 6). Older age and proton pump inhibitors are both risk factors for development of C. difficile-induced colitis. Additionally, increased comorbidities such as chronic renal disease, malignancy, coronary artery disease, chronic pulmonary disease, inflammatory bowel disease, and diabetes mellitus are all risk factors for complications such as recurrent infection or mortality.24,27 Patients should be monitored closely when taking clindamycin and pre-emptively warned of concerning symptoms. Patients should be instructed to call a medical professional if they start experiencing fever, cramping, or more than three loose bowel movements per day.9

Prevention strategies should also be reviewed with patients being prescribed clindamycin. Patients may be counseled to consume probiotics, yogurt containing active cultures, or other fermented foods or drinks to help prevent C. difficile infection. While probiotics are not formally recommended by clinical guidelines due to limited data from clinical trials, a Cochrane systematic review and meta-analysis from 2017 reported that probiotic use, including in pill form, yogurt, or kefir (a fermented milk drink), reduces the risk of colitis by 70% in high-risk patients in comparison to placebo controls.28

If a patient does experience symptoms consistent with C. difficile infection, clindamycin (or the inciting antibiotic) should be discontinued immediately and the patient referred to their primary care provider for treatment and monitoring of the infection. If a significant delay in laboratory confirmation of infection is expected, antibiotics for treatment of C. difficile infection are started empirically. First-line therapy for an initial episode of colitis is 200 mg fidaxomicin twice daily for 10 days.29 Treatment of severe, recurrent infection may include fecal microbiota transplantation or subtotal colectomy. C. difficile infections are associated with significant mortality; 29,000 associated deaths were reported in the United States in the year 2011.16,30

Conclusion

Clindamycin is a highly effective antibiotic, but its use is not without risk. Clinicians should be cognizant of the possibility of C. difficile infection associated with clindamycin use, particularly as it relates to the risk status of their individual patients, before choosing to prescribe this drug.16 Clindamycin should not be the first-line antibiotic choice for any patient; rather, clinicians should follow the current prescribing guidelines to choose the safest and most effective antibiotics for their patients.10 Penicillin-family drugs are the best choice because they have a low adverse drug reaction profile in comparison to other antibiotics used in dentistry and have proven to be effective in a majority of cases.25 While many patients report penicillin allergy, allergy testing can delabel many patients with unconfirmed allergies to assure that inappropriate medical labels do not result in inappropriate prescription of potentially dangerous antibiotics, like clindamycin. Allergy testing ensures that patients start treatment with the most narrow-spectrum drug possible, a measure that aligns with the principles of antibiotic stewardship. In confirmed penicillin-allergic patients, alternatives like cephalexin or azithromycin should be used before progressing to the broader-spectrum clindamycin, with known risk.

Antibiotics are not the definitive treatment for endodontic infections, nor should they be used that way; antibiotic stewardship is crucial to curb antimicrobial resistance and prevent lethal infections. Clinicians must give serious consideration to the power and perils of antibiotics outlined in recent literature. Appropriate use of these drugs, including waiting to prescribe clindamycin until absolutely necessary, will not only effectively manage endodontic infections, but will also save lives.

About the Authors

Abigail Baldwin, DMD candidate

Third-Year DMD Candidate, Harvard School of Dental Medicine, Boston, Massachusetts

Brooke Blicher, DMD, Certificate in Endodontics

Assistant Clinical Professor, Department of Endodontics, Tufts University School of Dental Medicine, Boston, Massachusetts; Clinical Instructor, Department of Restorative Dentistry and Biomaterials Science, Harvard School of Dental Medicine, Boston, Massachusetts; Instructor in Surgery, Dartmouth Medical School, Hanover, New Hampshire; Co-founder, Pulp Nonfiction Endodontics; Private Practice limited to Endodontics, White River Junction, Vermont

Jarshen Lin, DDS, Certificate in Endodontics

Director of Predoctoral Endodontics, Department of Restorative Dentistry and BiomaterialsScience, Harvard School of Dental Medicine, Boston, Massachusetts; Clinical Associate, Department of Surgery, Massachusetts General Hospital, Boston, Massachusetts

Rebekah Lucier Pryles, DMD, Certificate in Endodontics

Assistant Clinical Professor, Department of Endodontics, Tufts University School of Dental Medicine, Boston, Massachusetts; Clinical Instructor, Department of Restorative Dentistry and Biomaterials Science, Harvard School of Dental Medicine, Boston, Massachusetts; Co-founder, Pulp Nonfiction Endodontics; Private Practice limited to Endodontics, White River Junction, Vermont

Queries to the author regarding this course may be submitted to authorqueries@aegiscomm.com.

References

1. American Dental Association Council on Scientific Affairs. Combating antibiotic resistance. J Am Dent Assoc. 2004;135(4):484-487.

2. Dajani AS, Taubert KA, Wilson W, et al. Prevention of bacterial endocarditis. Recommendations by the American Heart Association. JAMA. 1997;277(22):1794-1801.

3. Simmons NA, Ball AP, Cawson RA, et al. Antibiotic prophylaxis and infective endocarditis. Lancet. 1992;339(8804):1292-1293.

4. AAE position statement: AAE guidance on the use of systemic antibiotics in endodontics. J Endod. 2017;43(9):1409-1413.

5. Kuriyama T, Nakagawa K, Karasawa T, et al. Past administration of beta-lactam antibiotics and increase in the emergence of beta-lactamase-producing bacteria in patients with orofacial odontogenic infections. Oral Surg Oral Med Oral Pathol Oral Radiol Endod. 2000;89(2):186-192.

6. Mueller SC, Henkel KO, Neumann J, et al. Perioperative antibiotic prophylaxis in maxillofacial surgery: penetration of clindamycin into various tissues. J Craniomaxillofac Surg. 1999;27(3):172-176.

7. Nicholas P, Meyers BR, Levy RN, Hirschman SZ. Concentration of clindamycin in human bone. Antimicrob Agents Chemother. 1975;8(2):220-221.

8. US Food and Drug Administration. CLEOCIN HCl®. Revised March 2020. Reference ID: 4572239. https://www.accessdata.fda.gov/drugsatfda_docs/label/2020/050162s102lbl.pdf. Accessed April 26, 2022.

9. Lockhart PB, Tampi MP, Abt E, et al. Evidence-based clinical practice guideline on antibiotic use for the urgent management of pulpal- and periapical-related dental pain and intraoral swelling: a report from the American Dental Association. J Am Dent Assoc. 2019;150(11):906-921.e12.

10. Johnson MD. Endodontics and Antibiotic Update. Endodontics: Colleagues for Excellence. American Association of Endodontics. Fall 2019. https://f3f142zs0k2w1kg84k5p9i1o-wpengine.netdna-ssl.com/specialty/wp-content/uploads/sites/2/2019/12/ecfe-fall-2019-May-2021.pdf. Accessed April 26, 2022.

11. Wilson WR, Gewitz M, Lockhart PB, et al. Prevention of viridans group streptococcal infective endocarditis: a scientific statement from the American Heart Association. Circulation. 2021;143(20):e963-e978.

12. Smith EA, Marshall JG, Selph SS, et al. Nonsteroidal anti-inflammatory drugs for managing postoperative endodontic pain in patients who present with preoperative pain: a systematic review and meta-analysis. J Endod. 2017;43(1):7-15.

13. Brook I, Lewis MAO, Sándor GKB, et al. Clindamycin in dentistry: more than just effective prophylaxis for endocarditis? Oral Surg Oral Med Oral Pathol Oral Radiol Endod. 2005;100(5):550-558.

14. Sebastian A, Antony PG, Jose M, et al. Institutional microbial analysis of odontogenic infections and their empirical antibiotic sensitivity. J Oral Biol Craniofacial Res. 2019;9(2):133-138.

15. Mada PK, Alam MU. Clostridioides difficile. In: StatPearls [Internet]. Treasure Island, FL: StatPearls Publishing; January 31, 2022.

16. Leffler DA, Lamont JT. Clostridium difficile infection. N Engl J Med. 2015;372(16):1539-1548.

17. Bignardi GE. Risk factors for Clostridium difficile infection. J Hosp Infect. 1998;40(1):1-15.

18. Levy DG, Stergachis A, McFarland LV, et al. Antibiotics and Clostridium difficile diarrhea in the ambulatory care setting. Clin Ther. 2000;22(1):91-102.

19. Hirschhorn LR, Trnka Y, Onderdonk A, et al. Epidemiology of community-acquired Clostridium difficile-associated diarrhea. J Infect Dis. 1994;169(1):127-133.

20. Buffie CG, Jarchum I, Equinda M, et al. Profound alterations of intestinal microbiota following a single dose of clindamycin results in sustained susceptibility to Clostridium difficile-induced colitis. Infect Immun. 2012;80(1):62-73.

21. Deshpande A, Pasupuleti V, Thota P, et al. Community-associated Clostridium difficile infection and antibiotics: a meta-analysis. J Antimicrob Chemother. 2013;68(9):1951-1961.

22. Brown KA, Khanafer N, Daneman N, Fisman DN. Meta-analysis of antibiotics and the risk of community-associated Clostridium difficile infection. Antimicrob Agents Chemother. 2013;57(5):2326-2332.

23. Vardakas KZ, Trigkidis KK, Boukouvala E, Falagas ME. Clostridium difficile infection following systemic antibiotic administration in randomised controlled trials: a systematic review and meta-analysis. Int J Antimicrob Agents. 2016;48(1):1-10.

24. Thornhill MH, Dayer MJ, Prendergast B, et al. Incidence and nature of adverse reactions to antibiotics used as endocarditis prophylaxis. J Antimicrob Chemother. 2015;70(8):2382-2388.

25. Thornhill MH, Dayer MJ, Durkin MJ, et al. Risk of adverse reactions to oral antibiotics prescribed by dentists. J Dent Res. 2019;98(10):1081-1087.

26. Campagna JD, Bond MC, Schabelman E, Hayes BD. The use of cephalosporins in penicillin-allergic patients: a literature review. J Emerg Med. 2012;42(5):612-620.

27. Abou Chakra CN, Pepin J, Sirard S, Valiquette L. Risk factors for recurrence, complications and mortality in Clostridium difficile infection: a systematic review. PLoS One. 2014;9(6):e98400.

28. Goldenberg JZ, Yap C, Lytvyn L, et al. Probiotics for the prevention of Clostridium difficile-associated diarrhea in adults and children. Cochrane Database Syst Rev. 2017;12(12):CD006095.

29. Johnson S, Lavergne V, Skinner AM, et al. Clinical practice guideline by the Infectious Diseases Society of America (IDSA) and Society for Healthcare Epidemiology of America (SHEA): 2021 focused update guidelines on management of Clostridioides difficile infection in adults. Clin Infect Dis. 2021;73(5):e1029-e1044.

30. McDonald LC, Gerding DN, Johnson S, et al. Clinical practice guidelines for Clostridium difficile infection in adults and children: 2017 update by the Infectious Diseases Society of America (IDSA) and Society for Healthcare Epidemiology of America (SHEA). Clin Infect Dis. 2018;66(7):e1-e48.

Fig 1. Decision aid for determining whether or not antibiotic use is appropriate in a case of endodontic infection. Antibiotic use is not appropriate for most endodontic infections.

Figure 1

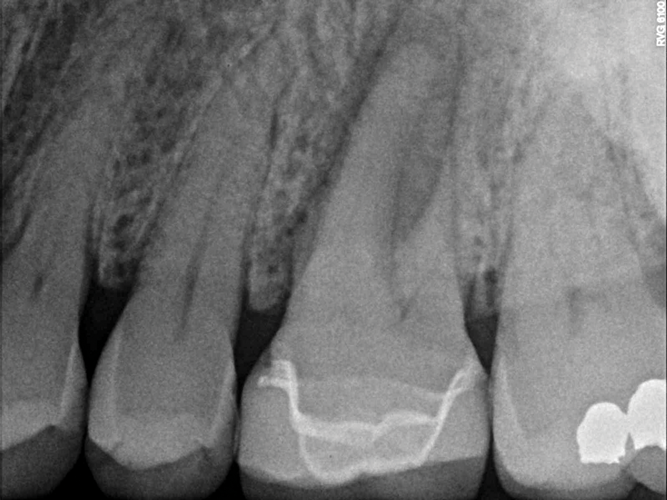
Fig 2. This penicillin-allergic patient presented with facial swelling secondary to pulpal necrosis with acute apical abscess on tooth No. 14 (Fig 2 and Fig 3). The swelling was consistent with cellulitis, thus systemic antibiotics were indicated in addition to definitive treatment by nonsurgical root canal therapy (Fig 4). Prior to 2019, clindamycin would have been the drug of choice, but newer guidelines warranted first-line use of cephalexin instead.10 Treatment in this case was initiated concurrently with antibiotic prescription and completed over two visits with the use of interappointment, intracanal calcium hydroxide. The infection resolved after treatment without complication.

Figure 2

Fig 3. This penicillin-allergic patient presented with facial swelling secondary to pulpal necrosis with acute apical abscess on tooth No. 14 (Fig 2 and Fig 3). The swelling was consistent with cellulitis, thus systemic antibiotics were indicated in addition to definitive treatment by nonsurgical root canal therapy (Fig 4). Prior to 2019, clindamycin would have been the drug of choice, but newer guidelines warranted first-line use of cephalexin instead.10 Treatment in this case was initiated concurrently with antibiotic prescription and completed over two visits with the use of interappointment, intracanal calcium hydroxide. The infection resolved after treatment without complication.

Figure 3

Fig 4. This penicillin-allergic patient presented with facial swelling secondary to pulpal necrosis with acute apical abscess on tooth No. 14 (Fig 2 and Fig 3). The swelling was consistent with cellulitis, thus systemic antibiotics were indicated in addition to definitive treatment by nonsurgical root canal therapy (Fig 4). Prior to 2019, clindamycin would have been the drug of choice, but newer guidelines warranted first-line use of cephalexin instead.10 Treatment in this case was initiated concurrently with antibiotic prescription and completed over two visits with the use of interappointment, intracanal calcium hydroxide. The infection resolved after treatment without complication.

Figure 4

Figure 5

Figure 5

Figure 6

Figure 6

CREDITS: 0
AGD CODE: 70 - Endodontics
COST: $0
PROVIDER: Conexiant Education
SOURCE: Compendium of Continuing Education in Dentistry | June 2022

Learning Objectives:

  • Discuss the indications for antibiotic use in managing endodontic infections, and identify risks associated with clindamycin use, including Clostridium difficile infection and increased antibiotic resistance
  • Review updated antibiotic prescribing protocols for endodontic infections and antibiotic premedication
  • Discuss considerations when using clindamycin, such as risk factors for C. difficile infection, symptoms of infection early, and use of probiotics for infection prevention

Disclosures:

The author reports no conflicts of interest associated with this work.

Queries for the author may be directed to justin.romano@broadcastmed.com.