Dual-Arch Implant Overdenture Treatment Protocols

Michael D. Scherer, DMD, MS

February 2022 Issue - Expires Friday, February 28th, 2025

Compendium of Continuing Education in Dentistry

Abstract

Patients who require transitioning from natural teeth to dental implants present a unique challenge to clinicians. When evaluating decision-making processes, clinicians must determine the best restorative treatment options for the patient. Fixed and removable treatment options may both become ideal possibilities for a patient, depending on the patient’s clinical presentation. Patients who are interested in fixed options but may not have the financial resources to be able to afford this more expensive alternative often may choose removable overdenture solutions. This article discusses ideal treatment planning strategies for patients interested in dual-arch overdenture restorations and reviews a clinical case describing this treatment.

You must be signed in to read the rest of this article.

Login Sign Up

Registration on CDEWorld is free. You may also login to CDEWorld with your DentalAegis.com account.

Treating patients who present with a failing dentition remains a challenge for many clinicians. While the rate of edentulism has steadily decreased over the decades since the 1970s, full-mouth reconstruction for patients requesting and/or needing it has generally remained a common aspect of clinical practice.1 The transition of patients from natural teeth to dental implant restorations can be significantly trying for both the clinician and patient from both an esthetic and functional aspect.2,3 While it is difficult to quantify when a patient has reached the point of a failing or failed dentition, the general consensus is that the dentition is terminal when the patient has insufficient teeth to maintain function, and often the patient needs to transition toward the edentulous state.4 This article discusses how to evaluate and treat patients who desire dual-arch implant treatment options and describes a clinical case that presented to the author's practice.

Full-Arch Restorative Options

Several common modalities exist for implant treatment options for edentulous patients or patients with terminal dentitions. They include tissue-supported complete dentures, implant-retained overdentures, implant-supported overdentures, fixed complete dentures (hybrids), and individual crowns or fixed partial denture reconstruction. A historical evaluation of dental implant treatment reveals that many patients are successfully treated with both implant overdentures and fixed full-arch restorations when transitioning from natural teeth or edentulous arches.5-7 Patients who present to the clinical environment requesting or needing full-mouth reconstruction with either fixed or removable prostheses often have failing or failed dentitions. Several factors go into a patient's decision-making process regarding restoration, but an overall primary question a clinician should ask is whether the patient is comfortable with a removable dentition versus one that is fixed intraorally. If the patient is tolerant of the removable option, long-term follow-up studies have shown that satisfaction of implant overdentures is similar to that of fixed restorations.8,9

Patients who tend to select fixed restorations are often most interested in overall chewing ability, stability of the prosthesis, and the ability to eat harder and crunchier foods. In contrast, those who are more inclined to select removable prostheses are often most interested in simplicity, esthetics, phonetics, and ease of cleaning. These criteria have been demonstrated in several long-term evaluations of patients who have undergone dental implant treatment.10,11

Treatment Assessment

Prior to surgical or restorative procedures, the treatment of patients with a terminal dentition often requires a detailed evaluation and presurgical site assessment to determine if the patent is a suitable candidate for dental implant treatment.12 Evaluation of the patient's treatment goals before proceeding with surgical procedures is as important as examination of the patient's dentition and/or edentulous ridges. A complete diagnosis is a critical first step in treating patients to ensure optimal outcomes; improper treatment planning steps may result in a less-than-ideal outcome. Patients who require full-arch reconstruction are often substantially impacted by the health of their remaining dentition and are often burdened with fears and concerns about dental treatment and extraction.13 Patient expectation of dental implant treatment has been reported as being quite high, and many patients desire a solution that is functional, esthetic, pain-free, lasts a lifetime, and can be attained at a reasonable cost.14

Patients who choose implant overdenture treatment typically opt for it because of the dramatic improvement in quality of life implant overdentures can provide when compared to their cost.15 A prosthesis retained by dental implants in the mandibular arch has long been regarded as a safe and highly effective long-term treatment option.16,17 Additionally, the implant overdenture is the commonly accepted first choice standard of care for the edentulous mandibular arch and has been subject to numerous evaluations of its cost-effectiveness.18,19

Number of Implants and Implant Positioning for Overdentures

The use of sequential and logical diagnostic and treatment planning steps for implant overdenture therapy is important and may improve treatment outcomes.20 The proper number of implants along with proper positioning, angulation, and distribution of the implants, as well as the attachment system, are key factors in enhancing treatment outcomes. Historically, many authors have advocated for two dental implants in the interforaminal space of the anterior mandible as the "de facto standard" in implant overdenture therapy.21 While patient satisfaction has been shown to be positive for two-implant overdentures, further evaluations have indicated that patients may be just as satisfied and potentially more satisfied with the use of additional implants around the maxillary or mandibular arch.22 In the maxillary arch, the number of implants is an important consideration because many patients are motivated by reducing palatal coverage of their prosthesis.23 In situations where the patient wishes for maxillary implants to retain a minimal-coverage prosthesis, treatment with four to six implants with either splinted or unsplinted attachment systems is recommended.24

Placement of implants for implant overdenture treatment is often based on anatomical features and anecdotal evidence. The two-implant mandibular overdenture historically has been utilized with dental implants placed in the interforaminal region in approximately the canine positions. Implant placement limited to this position is typically compounded by years of denture or partial denture use resulting in substantial posterior ridge resorption.20 In resorbed anterior ridges, use of narrow-diameter implants, ie, less than 3 mm in diameter, may be optimal compared to placement of larger-diameter implants with grafting procedures. In posterior alveolar ridges where bone width is greater but length is often limited, shorter and wider implants may be optimally utilized. Distribution and distance between implant-retentive mechanisms remains an important factor for implant overdenture treatment, with wider distribution and spacing between implants tending to enhance retention and stability of the prosthesis.25 When the opportunity presents itself to place implants posterior to the mental foramina for 3-4 implant cases, retention and stability of the overdenture are greatly enhanced when implants are placed distally, such as at the second premolar, first molar, or second molar.26

Increasing the number of and spacing between implants may have an impact clinically when considering its effect on both physical properties, such as retention and stability, and non-physical properties, such as patient acceptance and satisfaction. Increasing the number of dental implants positively impacts patient quality of life and satisfaction when it comes to both the maxillary and mandibular arches.27,28 When considering placing an increased number of dental implants per arch, ie, four to six implants, clinicians often place them in a widely distributed manner with substantial inter-implant spacing to ensure adequate blood supply around the implants. Optimal positioning for implants in the maxillary arch is the first molar/second molar positions, first premolar/second premolar positions, and lateral incisor positions; in the mandibular arch ideal implant positions are the first molar and canine positions (Figure 1).

To accommodate implant placement around critical structures such as sinuses or nerves, shorter dental implants with greater diameter are optimal in posterior maxillary and mandibular ridges. In anterior maxillary or mandibular ridges where alveolar structures have fewer critical anatomical areas, the bone tends to be narrower and denser. In those anterior ridge situations, longer dental implants with nar­rower diameters are considered optimal. Implant designs that favor wide aggres­sive threads with platform-switching components tend to be preferred in pos­terior maxillary and mandibular alveolar ridges. Narrower threads and slightly less aggressive design tends to be favored in the anterior maxillary and mandibular arches.

By treating overdenture patients with four or more implants per arch, clinicians maintain the ability to convert an implant overdenture restoration into a fixed restoration in the future. While fixed and removable restorations may reportedly be equally satisfactory to patients, anxiety and fear related to a removable restoration may limit a patient's desire to transition from natural teeth to artificial substitutes.29 Cost and surgical complexity of fixed restorations versus a removable option, however, may preclude patients from deciding on a fixed option. In clinical situations where the patient may be ambivalent about deciding on fixed versus removable treatment options, the concept of the patient being able to convert the restorations into fixed prostheses even after implants and restorations have been placed is compelling. Thus, patients may have less anxiety and fear about transitioning to dental implants knowing that they have the flexibility and assurance of secondary options being available.

Case Report: Dual-Arch Overdenture Treatment

A 58-year-old male patient with existing maxillary and mandibular teeth presented with a concern that he may need extensive dental treatment. His clinical presentation included multiple crowns, a fixed partial denture, and numerous dental restorations. Additionally, he had concerns about his periodontal health after years of scaling and root planing procedures(Figure 2).Clinical examination revealed that while the patient presented with minimal caries and teeth fractures, he had generalized moderate to severe chronic periodontitis.

With his history of poor periodontal health, and concerned about potentially undergoing another round of periodontal scaling and/or surgical intervention, the patient requested full-arch extraction and dental implant treatment options instead of conservative approaches. Over the course of 15 years he had been seen regularly for routine periodontal maintenance with periodic scaling and root planing procedures as his periodontal condition worsened. The clinician and patient discussed the potential for osseous surgery and more definitive procedures; however, the patient expressed an interest in an expedited treatment that would not require additional periodontal procedures.

The patient indicated that he was interested in a nonremovable, fixed treatment option but was concerned regarding costs of the procedure and inquired about a more affordable option. After extensive discussion regarding treatment, two options were presented to the patient. The first was maxillary and mandibular full-arch, screw-retained hybrid restorations (all-on-X). The second option was maxillary and mandibular overdentures treated with four to six implants on the maxillary arch and two to four implants on the mandibular arch. The patient expressed interest in the first treatment option; however, when presented with the cost of fixed restorations, he requested the second option comprising the overdenture treatment. A discussion regarding the number and position of implants was conducted, and the patient opted for a maximum number of implants per arch to ensure he would have the flexibility of converting his overdenture prostheses into fixed ones in the future if he so desired.

Impressions using an intraoral optical scanner (TRIOS®, 3Shape, [alternatively: iTero®, Align Technology; i700, Medit]) were made of the patient's maxillary and mandibular dentition. Photographs were taken, and a cone-beam computed tomography (CBCT) scan was made. The CBCT images were manipulated using a dental implant planning software (Invivo, Anatomage, [alternatively: Implant Studio®, 3Shape; exoplan, exocad]), and virtual implants were planned for placement into widely distributed and spaced regions of the maxillary and mandibular arches (Figure 3). Virtual implants were virtually placed into the positions of teeth Nos. 2, 4, 6, 11, 13, and 15 in corresponding maxillary root sockets and the positions of teeth Nos. 19, 22, 27, and 30 in corresponding mandibular root sockets.

The patient returned for extraction and dental implant placement. Anesthetic (lidocaine) was administered, and all maxillary and mandibular teeth were extracted. Immediately after extraction, implant osteotomies were prepared, and dental implants (ETIII SA, Hiossen, [alternatively: LOCATOR® Overdenture Implant System, Zest Dental Solutions; Legacy3, Implant Direct]) were placed. All of the implants achieved primary stability and insertion torque of 30 Ncm or higher. Cover screws were placed onto each implant, and bone grafting material (xenograft) was placed. Primary closure was achieved using chromic gut sutures, and the interim prostheses were placed. The patient was instructed to maintain a soft-food diet for 2 to 3 months during the osseointegration period.

The patient returned and implants were assessed for integration and implant exposure procedures. A crestal incision was made and healing abutments were placed; at the time of uncovery, tissue measurements were made from the top of the implant platform to the superior portion of the tissues. Two weeks later, the patient returned and overdenture abutments (LOCATOR® R-Tx, Zest Dental Solutions, [alternatively: ERA, Sterngold; Hader, Preat]) in tissue heights corresponding to the measured tissue depths were placed (Figure 4 and Figure 5). After placement of the abutments, a panoramic radiograph was made to confirm complete adaptation of the abutments to the dental implants (Figure 6).Abutments were torqued to manufacturer's recommended torque values and denture housings were placed on top of each abutment (Figure 7). Optical scans of the maxillary and mandibular arches were made using the intraoral impression scanner. The patient's existing denture was relieved and relined with a silicone-based soft reline material (CHAIRSIDE® Soft, Zest Dental Solutions, [alternatively: Coe-Soft, GC America; Ufi Gel SC, Voco]). The intaglio and cameo surfaces of the maxillary and mandibular prostheses were optically scanned using the intraoral scanner.

The optical scan files were imported into a dental laboratory planning software (Dental System, 3Shape, [alternatively: DWOS Dental Software, Straumann Group; DentalCAD, exocad]) and overdenture frameworks were designed (Figure 8). The framework designs were sent to a dental laboratory for 3D printing the frameworks in cobalt-chrome. Using the existing interim dentures as a guide, denture teeth (Pala® Mondial®, Kulzer, [alternatively: Veracia SA, Shofu; SR Vivodent®, Ivoclar Vivadent]) were placed onto the completed frames and assessed with the patient approving the final esthetics and tooth arrangement (Figure 9). The prostheses were completed using conventional acrylic processing techniques.

The patient returned for placement of the final prostheses. Housings were attached to the top of each of the abutments, and composite resin (CHAIRSIDE® Attachment Processing Material, Zest Dental Solutions, [alternatively: Quick Up®, Voco; Pattern Resin, GC America]) was placed into the recesses (Figure 10). The prostheses were seated onto the edentulous ridges, and housings were attached to the prostheses intraorally. After complete polymerization, the processing inserts were removed, and medium-strength nylon inserts were placed into the housings within the denture (Figure 11). The patient was given instructions on inserting and removing the prostheses and was satisfied with esthetics, fit, and form of the restorations (Figure 12).

The patient again returned and reported general comfort, easy insertion and removal, and satisfaction with the stability of the prostheses for chewing and speaking. Approximately 1 year after placement of the prostheses, the patient returned for a long-term follow-up and reported that the prostheses were performing well and he did not wish to transition to a fixed prosthesis. He indicated that he was comfortable with his decision and happy with the final result, and was glad that he still had the flexibility to transition to a fixed prosthesis in the future if he wanted to do so.

Conclusion

Full-arch reconstruction with implant overdenture therapy is a predictable treatment for long-term success for patients who are comfortable with removable prostheses. Patients who request full-arch reconstruction with dental implants are often unsure of whether to transition from natural teeth to fixed or removable restorations. For some patients, the decision can lead to anxiety and fear of moving forward with their dental treatment. In this article, the treatment of a patient treated with dual-arch overdenture restorations was described. While the patient was satisfied with the prosthetic result, having the assurance that he could still transition from a removable restoration to a fixed one was a primary motivator for the patient to continue with dental treatment. By having numerous implants placed in a widely spaced distribution, the patient was able to achieve a stable removable prosthesis that will be able to also support a fixed prosthesis in the future.

About the Author

Michael D. Scherer, DMD, MS
Assistant Clinical Professor, School of Dentistry, Loma Linda University, Loma Linda, California; Clinical Instructor, University of Nevada Las Vegas, Las Vegas, Nevada; Private Practice limited to Prosthodontics and Implant Dentistry, Sonora, California; Fellow, American College of Prosthodontists

Queries to the author regarding this course may be submitted to authorqueries@aegiscomm.com.

References

1. Kassebaum NJ, Bernabé E, Dahiya M, et al. Global burden of severe tooth loss: a systematic review and meta-analysis. J Dent Res. 2014;93
(7 suppl):20S-28S.

2. Jivraj S, Chee W. Transitioning patients from teeth to implants. Br Dent J. 2006;201(11):699-708.

3. Hellyer P. Experiencing the failing dentition: what dentists do. Br Dent J. 2016;220(9):479-480.

4. Parameters of care for the specialty of prosthodontics. J Prosthodont. 2020;29(S1):3-147.

5. Lewis S. Treatment planning: teeth versus implants. Int J Periodontics Restorative Dent. 1996;16(4):366-377.

6. Moshaverinia A, Kar K, Chee WWL. Treatment planning decisions: implant placement versus preserving natural teeth. J Calif Dent Assoc. 2014;42(12):859-868.

7. Thomas MV, Beagle JR. Evidence-based decision-making: implants versus natural teeth. Dent Clin North Am. 2006;50(3):451-461.

8. ELsyad MA, Elgamal M, Askar OM, Al-Tonbary GY. Patient satisfaction and oral health-related quality of life (OHRQoL) of conventional denture, fixed prosthesis and milled bar overdenture for All-on-4 implant rehabilitation. A crossover study. Clin Oral Implants Res. 2019;30(11):1107-1117.

9. Johar AO. Clinical performance of implant overdenture versus fixed detachable prosthesis. J Contemp Dent Pract. 2018;19(12):1480-1486.

10. Goodacre C, Goodacre B. Fixed vs removable complete arch implant prostheses: a literature review of prosthodontic outcomes.
Eur J Oral Implantol. 2017;10 suppl 1:13-34.

11. Heydecke G, Boudrias P, Awad MA, et al. Within-subject comparisons of maxillary fixed and removable implant prostheses: patient satisfaction and choice of prosthesis. Clin Oral Implants Res. 2003;14(1):125-130.

12. Scherer MD. Presurgical implant-site assessment and restoratively driven digital planning. Dent Clin North Am. 2014;58(3):561-595.

13. Jeddy N, Nithya S, Radhika T, Jeddy N. Dental anxiety and influencing factors: a cross-sectional questionnaire-based survey. Indian J Dent Res. 2018;29(1):10-15.

14. Korfage A, Raghoebar GM, Meijer HJA, Vissink A. Patients' expectations of oral implants: a systematic review. Eur J Oral Implantol. 2018;11 suppl 1:S65-S76.

15. Rashid F, Awad MA, Thomason JM, et al. The effectiveness of 2-implant overdentures - a pragmatic international multicentre study. J Oral Rehabil. 2011;38(3):176-184.

16. Naert I, Alsaadi G, Quirynen M. Prosthetic aspects and patient satisfaction with two implant-retained mandibular overdentures: a 10-year randomized clinical study. Int J Prosthodont. 2004;17(4):401-410.

17. Sadowsky SJ. Mandibular implant-retained overdentures: a literature review. J Prosthet Dent. 2001;86(5):468-473.

18. Feine JS, Carlsson GE, Awad MA, et al. The McGill consensus statement on overdentures. Montreal, Quebec, Canada. May 24-25, 2002. Int J Prosthodont. 2002;15(4):413-414.

19. Narby B, Kronström M, Söderfeldt B, Palmqvist S. Changes in attitudes toward desire for implant treatment: a longitudinal study of a middle-aged and older Swedish population. Int J Prosthodont. 2008;21(6):481-485.

20. Scherer MD. Overdenture implants. A simplified and contemporary approach to planning and placement. Dent Today. 2015;34(8):54-60.

21. Thomason JM, Feine J, Exley C, et al. Mandibular two implant-supported overdentures as the first choice standard of care for edentulous patients - the York Consensus Statement. Br Dent J. 2009;207(4):185-186.

22. Roccuzzo M, Bonino F, Gaudioso L, et al. What is the optimal number of implants for removable reconstructions? A systematic review on implant-supported overdentures. Clin Oral Implants Res. 2012;23 suppl 6:229-237.

23. Kilic K, Kurtulus IL, Eraslan R, et al. Effects of attachment type and palatal coverage on oral perception and patient satisfaction in maxillary implant-supported complete denture patients. Niger J Clin Pract. 2019;22(5):669-674.

24. Sadowsky SJ, Zitzmann NU. Protocols for the maxillary implant overdenture: a systematic review. Int J Oral Maxillofac Implants. 2016;31 suppl:s182-s191.

25. Scherer MD, McGlumphy EA, Seghi RR, Campagni WV. Comparison of retention and stability of two implant-retained overdentures based on implant location. J Prosthet Dent. 2014;112(3):515-521.

26. Scherer MD, McGlumphy EA, Seghi RR, Campagni WV. Comparison of retention and stability of implant-retained overdentures based upon implant number and distribution. Int J Oral Maxillofac Implants. 2013;28(6):1619-1628.

27. Mumcu E, Bilhan H, Geckili O. The effect of attachment type and implant number on satisfaction and quality of life of mandibular implant-retained overdenture wearers. Gerodontology. 2012;29(2):e618-e623.

28. Di Francesco F, De Marco G, Gironi Carnevale UA, et al. The number of implants required to support a maxillary overdenture: a systematic review and meta-analysis. J Prosthodont Res. 2019;63(1):15-24.

29. Borges GA, Barbin T, Dini C, et al. Patient-reported outcome measures and clinical assessment of implant-supported overdentures and fixed prostheses in mandibular edentulous patients: a systematic review and meta-analysis. J Prosthet Dent. 2020:S0022-3913(20)
30694-6.

Fig 1. Ideal implant positions for dual-arch overdenture patients. In the maxillary arch, ideal positions are the first/second molars, first/second premolars, and lateral incisors. In the mandibular arch, ideal positions are the first molars and canines.

Figure 1

Fig 2. Patient presented with a failing dentition due to extensive periodontal disease and was interested in full-mouth reconstruction with dental implants.

Figure 2

Fig 3. After a CBCT scan was made, virtual implants were placed in widely distributed positions on the maxillary (six implants) and mandibular (four implants) arches.

Figure 3

Fig 4. Maxillary overdenture abutments were placed.

Figure 4

Fig 5. Mandibular overdenture abutments were placed. Fig 5. Mandibular overdenture abutments were placed.

Figure 5

Fig 6. Panoramic radiograph confirmed complete adaptation of the abutments to the implants prior to torquing the abutments.

Figure 6

Fig 7. Denture housings were placed onto each abutment and optically scanned using an intraoral scanner.

Figure 7

Fig 8. Maxillary (left) and mandibular (right) overdenture frameworks were designed using a laboratory software. The framework designs would be 3D printed using cobalt-chrome.

Figure 8

Fig 9. Complete overdenture prostheses using acrylic resin and denture.

Figure 9

Fig 10. Denture housings were placed onto each abutment and recesses prepared within the prostheses. Composite resin was placed into each recess and the prosthesis placed onto the edentulous ridge. After complete polymerization, the prostheses were removed.

Figure 10

Fig 11. Processing inserts were replaced with definitive nylon inserts.

Figure 11

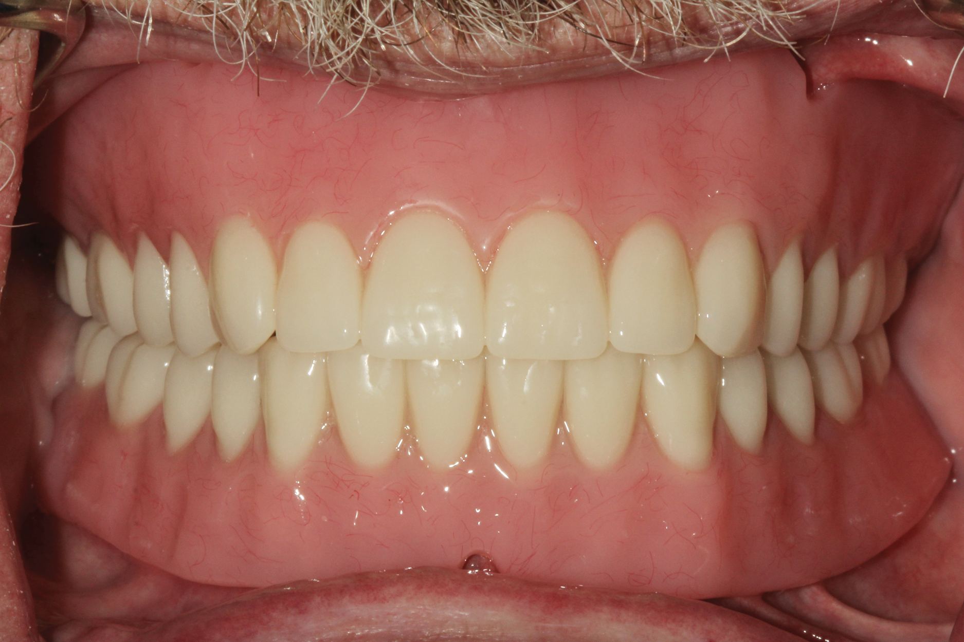
Fig 12. At a follow-up appointment approximately 2 weeks post-treatment, the patient indicated he was satisfied with the esthetics, fit, function, and insertion/removal of the prostheses.

Figure 12

CREDITS: 0
AGD CODE: 690 - Implants
COST: $0
PROVIDER: Conexiant Education
SOURCE: Compendium of Continuing Education in Dentistry | February 2022

Learning Objectives:

  • Discuss common modalities used for implant treatment of edentulous patients or patients with terminal dentitions
  • Describe presurgical site assessment protocols for patients with terminal dentitions
  • Explain sequential and logical diagnostic and treatment planning steps for implant overdenture therapy

Disclosures:

The author reports no conflicts of interest associated with this work.

Queries for the author may be directed to justin.romano@broadcastmed.com.