Evolution of Full-Arch Implant Prosthodontics: From Analog Protocols to Digital Workflows

Sundeep Rawal, DMD; Thomas J. Balshi, DDS ; Sajid Jivraj, BDS , MSEd; and Bobby Birdi, DMD, MS

October 2019 Issue - Expires Monday, October 31st, 2022

Compendium of Continuing Education in Dentistry

Abstract

Ever since orthopedic research emanating from Sweden revealed that human bone could consistently fuse to titanium, forward-thinking prosthodontists have pursued the enormous possibilities for restoring patients with implant-supported prosthodontics. Applications for osseointegration in full-arch prosthetic dentistry have evolved, with the chronologic development of technique and technology progressing from multi-step complex analog procedures to streamlined digital production of immediately loaded prosthetic dentitions that predictably deliver restorative excellence. This article presents a historical perspective that describes how dental implant prosthodontics materials and methods have advanced and are effectively keeping pace with other medical disciplines while remaining entrenched in scientifically based methodology. The article discusses current methods available for producing desirable prosthodontic treatment results to provide patients healthy, esthetic, enduring rehabilitations. The authors conclude that a wealth of research and experience has contributed to the progress of implant prosthodontics and that, based on current technological advances, this area of dentistry is only at the cusp of further development.

You must be signed in to read the rest of this article.

Login Sign Up

Registration on CDEWorld is free. You may also login to CDEWorld with your DentalAegis.com account.

The universal goal of prosthodontists is to achieve superlative restorative results that provide optimum oral health, function, and esthetics to their patients. The evolving technology of implant prosthodontics has vastly expanded the restorative capabilities of prosthodontists, enabling rehabilitations that, compared to past modalities, might be considered near perfect. The advancement and applications of digital dentistry have driven what was once a costly solution reserved only for elite clientele into prosthodontic possibilities for the mainstream.

All scientific expansion retains the vital building blocks that ensure success. Professor Per-Ingvar Brånemark, noted for his uncompromising dedication to pristine scientific method, cautiously and methodically advanced his discoveries with dental implants along a bar of certainty before he would take the next measured step. The dental profession today would do well to adopt his conservative approach and blend it with the new methodologies of current times, sifting the knowledge carefully to discard what is no longer state-of-the-art and retain what is needed to engender excellence.

Experiments with osseointegrated implants began as far back as the 1960s, though pioneering patient treatment and scientific publication emerged a decade later. Based on his inadvertent but historic discoveries of bone regeneration around titanium in dogs,1 Brånemark's pursuit of advancing human applications laid the foundation for addressing edentulism in a whole new way. Despite a plethora of opposition and biologic challenge, this concept of bringing nonremovable prostheses to a significantly larger patient population established roots of its own. In the mid-1970s, intrigued by early Swedish studies, Dr. George Zarb engineered an introduction to Professor Brånemark and persuaded him to support parallel replications of the Gothenburg clinical trials in North America.2 Zarb's enthusiasm was fertilized by widespread academic interest, numerous scientific studies, and an almost inconceivable success rate.

Early Challenges

According to Professor Brånemark himself, osseointegration is "a direct structural and functional connection between ordered living bone and the surface of a load-carrying implant."3 For scientists, this is a comprehensive successful equation with stringent requirements; for prosthodontists and patients, it is also a journey to a finish line that involves a myriad of philosophical, artistic, and biologically harmonious considerations.4 It is not just a tale of healing. It is the healing plus the building of a smile with function, beauty, and esthetics equal or even superior to the original natural teeth. Moreover, Baier et al went a step further stating that "successful ‘integrated' implants are those that regain stability after unanticipated trauma; that is, they have a large range of ‘physiologic forgiveness.' This means that once they are functionally immobile and traumatically rendered mobile, they will spontaneously return to their desired immobile condition."5

To adhere to the Brånemark definition of the process, early treatment plans restoring osseointegrated dental implants incorporated significant spans of time. This was to ensure protection of the living tissue involved in the process of accepting titanium.6 Monitored healing was essential protocol in the inaugural two-stage surgical method, and patients, mostly enchanted by the possibility of having a fixed dentition instead of traditional dentures, were willing to tolerate either the absence of teeth through the long healing period or the placement of an interim removable prosthesis, generated primarily to provide the cushioning necessary to relieve stress on the implants.7 Patient emotional and physical satisfaction was studied over 10 years by Haraldson, who reported that all patients were 100% satisfied with their chewing function, considering the stability of their implant bridges. However, a third of these patients were not satisfied with their esthetics and several complained of transient phonetic problems. Additionally, the recorded bite-force levels tested were significantly increased compared to the initial findings 10 years earlier. The highest forces were found in the bicuspid region in patients with implant bridges in both jaws.8

The earliest literature addressing the restoration of titanium implants bypassed the concept of the conversion prosthesis and focused on the definitive one. The key challenge was establishing occlusion, which required adherence to a regimental series of procedures to achieve the proper result. Second-stage surgery, a time-consuming and tedious experience for the doctor and patient, involved multiple steps beginning with "uncovering" the implants, removing cover screws, calculating measurements of mucosal tissue thickness to determine the most appropriate abutment selection, creating a precise master cast, and constructing a screw-retained base plate and occlusal rim.9 Only then could occlusal records be established.

Dental technicians played a magnanimous role in the creation of early fixed implant prostheses. They began working with impression copings and gold cylinders to wax their frameworks prior to casting.10 Synergy between doctor and technician was critical to effect a successful casting "try-in" visit with the patient that could progress to the final stages of processed acrylic-on-metal prostheses. In a recent informal ergonomic study, the author (TJB) determined that the hands-on time needed by a certified dental technician to complete a screw-retained implant-supported prosthesis circa 1985 (Figure 1 and Figure 2) was 18 hours. Ensuring excellence in function and esthetics at that time in implant history required rigidly sequential steps, a high level of skilled judgment, well-tuned collaboration with the laboratory, and a significant investment in time. Fixed implant prostheses emerged as a treatment of choice but were costly to produce and, therefore, expensive for patients. Treatment acceptance was restricted.

The Advent and Refinement of Immediate Loading

In the mid-1990s, implantology science was substantially streamlined through experimentation with immediate loading of dental implants. A significant development was the shifting of focus to a conversion prosthesis, fabricated to serve as a prototype of the definitive prosthesis. This innovative approach aided in the stabilization of implants in healing bone and enabled patients to have both immediate esthetic gratification and a more natural return to function after surgery (Figure 3).

Balshi and Wolfinger combined use of the traditional protocol with the immediate loading of implants in edentulous patients to analyze integration of and any adverse responses to the two methods in the same arch. Initial findings pointed to a greater success rate with the Brånemark-prescribed protocol; however, 80% of the immediately loaded implants did integrate, prompting further exploration.11 Simultaneously, Schnitman et al, seeking to increase patient acceptance of treatment, also conducted immediate loading studies in a similar fashion with nearly identical results. Only four of 28 immediately loaded implants in their study were lost, and, ultimately, all patients were effectively prosthetically restored, with only one implant being surgically replaced.12

These developments pointed to the strong possibility that an immediately loaded conversion prosthesis could be used to streamline the patient experience if variable factors could be carefully controlled. According to Schnitman, factors associated with the survival of immediately loaded implants are "intimacy of initial fit (primary stability), the percentage of implants in contact with bone cortex, density of the cortical bone, and elimination of micromovement during the bone-remodeling period."12

These factors play a particularly key role in the treatment of the atrophic posterior maxilla. If sufficient bone is unavailable and longer cantilevers are required, various problems may arise, such as screw loosening and fracture, crestal bone loss around the most posterior implant, and even complete loss of integration. Alternatively, bone-anchored non-cantilevered prosthetic designs are now dependent on support from zygomatic and pterygomaxillary implants.13-17

Although even today skeptics argue the validity of immediate loading, literature indicates widespread international interest in critically analyzing the variables associated with it and in perfecting the techniques of caring for the tissue and meticulously placing the fixtures themselves, with biomechanically engineered considerations governing the loading of these conversion prostheses. In 2005, a landmark thesis that evaluated implant stability through the healing process using resonance frequency analysis concluded that bone remodeling occurred most effectively if the immediately loaded prosthesis was left untouched for at least 2 months.18 Dr. Paulo Maló, an early champion of immediate function, echoed the pioneer studies, adding that surgical experience and a "gradual decrease of primary stability with reconstruction of bone tissue around the implant" also contributed to predictable results.19

The refinement of the immediately loaded conversion prosthesis and the development of protocols to ensure longevity had far-reaching impact even beyond increased patient acceptance. The establishment of occlusion for the final restoration was always a primary concern, and patients wearing a conversion prosthesis for a minimum of 3 months afforded the clinician an opportunity to evaluate and record a highly precise occlusal relationship. Models of the existing conversion prosthesis could be articulated against the cast of the opposing dentition. The master cast with the conversion prosthesis in place was also articulated against the same opposing dentition model (Figure 4). The stone cast of the conversion prosthesis then served as an ideal prototype for the final prosthesis.20 Moreover, the added cost of the conversion prosthesis was offset by its preservation, as it could serve as an acceptable interim set of teeth should the definitive prosthesis ever require a repair.

New Designs and Protocols

According to Maló, widespread confidence in immediate loading led to implant manufacturers developing various new designs to aid in clinical performance.21 By the early 2000s, "teeth in a day" concepts demonstrated immediate loading success rates that equaled the stability and longevity of traditional two-stage protocols. The first codified surgical and prosthetic protocol for immediate-load rehabilitation of an edentulous patient was reported to be the Brånemark Novum®22,23 (Nobel Biocare, nobelbiocare.com) (Figure 5 and Figure 6). In a significant retrospective study of patients with immediately loaded Brånemark Novum implants that exhibited consistent follow-up for 11 years, the authors reported 100% survival of both implants and prostheses with minimal complications.24 The Novum approach, which was aimed at controlling the forces transmitted to the implants, enhanced stability at the interface of bone and titanium using a prefabricated bar for rigidity; it thus emphasized the immediate-load principle to eliminate motion through the healing period.22,25

As a stabilizer and foundation for the prosthesis, the bar (or framework) had its own evolution. When dependent on fabrication by technicians, frameworks were designed using the matrix of the conversion prosthesis on the master cast, constructed with acrylic, and then cast in precious or semi-precious metal. Due to minimal shrinkage as the castings cooled, microscopic misfits often resulted. In the late 1990s, however, computer-aided design/computer-aided manufacturing (CAD/CAM) technology was introduced that included a robotically milled titanium framework and incorporated modern 3-dimensional (3D) scanning technology to enhance precision and predictability. Previously, in the 1980s, the technology had focused on the manufacture of CAD/CAM alumina-based copings. Today, entire CAD/CAM workflow systems are designed to offer milled and printed solutions for many different types of treatment modalities from monolithic, screw-retained, full-contour zirconia restorations to titanium and other metal frameworks for both implant- and tooth-supported restorations. Examples of such systems include: Procera/DTX Studio (Nobel Biocare), ZirkonZahn Prettau® monolithic zirconia full-arch implant prosthesis (ZirkonZahn, zirkonzahn.com), and inLab MC X5 (Dentsply Sirona, dentsplysirona.com).

Along with these advancements in manufacturing came innovations in the use of software for diagnosis and treatment planning. van Steenberghe and others were among the most scrupulous analysts of the early software systems, challenging the value of 3D planning and using reformatted cone-beam images for computer-guided placement of implants based on prosthetic demands. While cautious in endorsing a consensus on precision, their published studies did conclude that cone-beam preoperative assessments positively influenced outcomes.26,27 Studies such as these opened doors for rapid technological advancement.28-30 From 2005 on, prosthetic dentistry kept pace with all of medicine in developing digital technology to support diagnosis and detection of additional non-dental pathology and findings,31 guided surgical precision,32 highly refined functional, comfortable, esthetic prostheses, and, very importantly, patient satisfaction.

On the cusp of what seemed to be radical virtual planning of implant surgeries and expansion of treatment to less predisposed candidates, conservative clinicians prolifically extolled the wisdom of careful patient selection. Factors on which patient selection should be based were comprehensive diagnosis, maximum sensitivity to bone and marrow, ability to execute precise surgical placement of the implants, and guardianship of the biomechanical load throughout bone remodeling and healing.

Prosthetically Driven Treatment

A 2009 report underlined the rapidly emerging concept that extensive diagnostic studies had extraordinary value in treatment planning implant treatment from a prosthetically driven point of view.33 Alongside enormous advances in tissue-integrated prostheses that encompassed the use of optical scanners using lasers to shape frameworks, it seemed a natural evolution to pre-design the definitive dentition based on the most ideal anatomy for each individual patient, and then effectively place implants at ideal angles in optimal anatomy to achieve the desired result. The advent of CAD/CAM, while still allowing for minute margins of error, significantly contributed to the elimination of invasiveness in patient care and to the favorable predictability of results. Debates ensued as to how many implants were needed in each arch to provide effective stability for the restoration. Six were considered to perhaps be ideal, but in many patients innovative concepts utilizing four implants-for example, two straight ones in the anterior and two tilted ones in the posterior-could be used to achieve successful long-term results.

Esthetically speaking, laboratory technology allowed for heightened success with the onset of frameworks uniquely prepared to accept individual porcelain crowns handmade by experienced ceramists. With greater translucency and a lightweight, more natural feel, these prostheses often were nearly indistinguishable from natural teeth. Among complications, however, was the delicacy of the layered porcelain in certain patients that led to frequent delamination of veneering materials.34

Digital Approaches

In the early 2000s, creating an all-digital definitive prosthesis was not the primary focus of innovation, but around 2010 it became possible to design an entire prosthesis in CAD/CAM programs. The use of sophisticated intraoral scanners began supplanting cumbersome physical impressioning. Clinical information could be gathered with reliable accuracy through the incorporation of digital transfer of data. Frameworks, teeth, and gingiva from various materials such as acrylic, titanium, zirconia, and ceramics could now be milled simultaneously with precision assembly in a short amount of time.

Today, clinicians have three digital approaches to full-arch solutions with zirconia frameworks to offer their patients: monolithic (Figure 7), veneered with feldspathic porcelain, or robotically milled to accept individual crowns. They all purport superior strength, except for when long cantilevers are used35; reliability of fit,36-38 although the accuracy of fit is inferior to milled titanium frames39; and good esthetics. While some studies indicate hairline cracks and multiple incidences of chipping (as high as 31%),40 others demonstrate high success rates with minimal chipping or fracture of cantilevers when designed with little to no cut-back of the monolithic zirconia.40Moreover, Bidra et al's analysis of more than 2,000 cases constructed by a single laboratory over a 4-year period showed an extremely high survival rate.41

Although some clinicians believe it may be too early to report on the overall effect of zirconia on bone remodeling, Chang stated that careful elimination of excessive stress on zirconia cylinders can aid significantly in fracture resistance.42 Advancements in scanning precision have helped minimize microgaps resulting from long-span zirconia implant prostheses; however, titanium frameworks continue to indicate the most consistent precision.39 Additionally, zirconia responds with significant loss of preload-in the range of 36% to 60%-both before and after cyclic loading43 and demonstrates more torque loss of prosthetic screws than titanium, resulting in the need for increased maintenance to preserve stability of the prosthesis in the patient.44

The backbone of digital implant solutions is a robotically milled titanium framework supporting a robotically milled monolithic polymethyl methacrylate (PMMA) veneer. This is Brånemark's original tissue-integrated prosthesis, which is now more commonly referenced as a hybrid prosthesis. The benefits of a milled titanium framework have been reported to include accuracy of fit, biocompatibility/homogeneity of milled titanium alloy blanks, and lower cost45; however, the weak link in this traditional design utilizing conventional processing of this prosthesis is inherent flaws in structural integrity due to acrylic polymerization and fusion to pre-manufactured artificial denture teeth to the acrylic base and framework. Yet, according to Goodacre et al, the advantage of the digital workflow to produce the modern hybrid prosthesis is the elimination of the polymerization deficit, commonly referred to as "processing error," as well as the fusion to individual teeth.46

The digital approach provides simultaneous milling of a titanium framework and a high-density monolithic veneer (Figure 8). This method requires clinical expertise to ensure adequate bone reduction, which according to Tischler et al is between 15 mm and 20 mm in vertical dimension,47 so that a sufficient volume of space may be attained for an optimal amount of prosthetic materials. Currently, this is the most economic fixed screw-retained implant-supported prosthesis for patients requiring full-arch rehabilitation; however, over time acrylic resin demonstrates wear, and a "retread" will eventually be required of the final robotically milled titanium framework.48

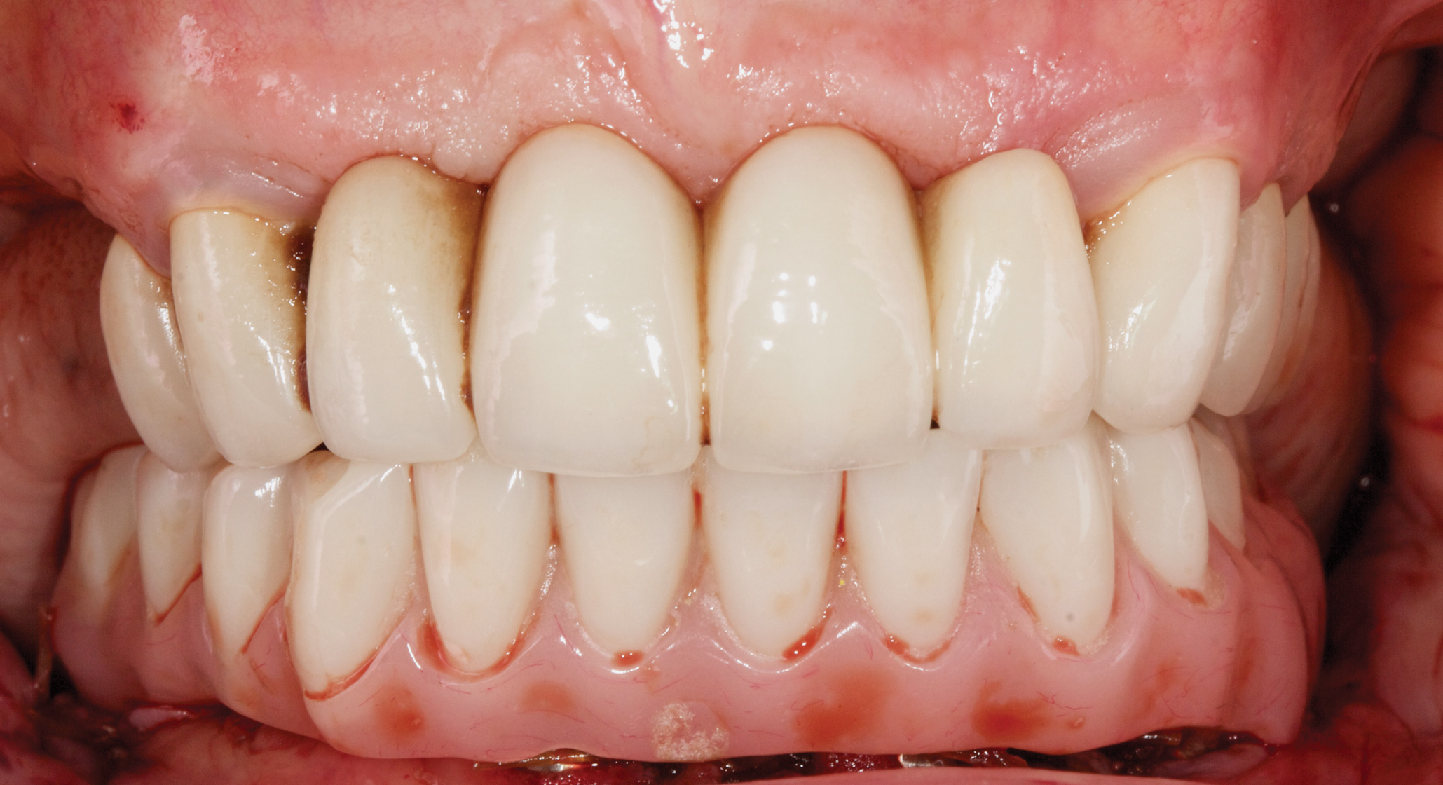
From an esthetic standpoint, individual ceramic crowns luted on a framework provide the most natural-looking teeth (Figure 9). Whether handcrafted by a master ceramist or digitally produced by robotic milling, individual crowns afford the doctor and patient ease in maintaining long-term prosthetic success, and this concept has been demonstrated to be a clinically acceptable option for definitive prosthetic rehabilitation with long-term follow-up.49 Digital frameworks can be milled with gingiva in porcelain using zirconia; however, altering the intaglio surface is extremely challenging and impractical. Milled titanium frameworks can be embedded in a PMMA "puck," which allows additional milling of the gingival veneer after framework fabrication.

From a restorative perspective, a recent innovation is a novel prosthesis that is generated based on fully digitally produced technology for both tooth and gingival restoration. Three materials are robotically milled simultaneously. With the known position of the teeth, a virtually engineered titanium framework is milled with specific "keys" designed to support individually robotically milled ceramic teeth (made from either lithium disilicate or zirconia). Once milled, the titanium framework can be anodized, pink for the horizontal beam and gold for the individual keys, to mask the underlying gray titanium framework. Using digital positioning technology, the framework is then embedded in a PMMA puck for robotic milling of the gingival veneer and the individual tooth sockets, thereby exposing the keys. Ceramic teeth with specifically designed keyways are then simultaneously milled to fit precisely upon the unique geometry of the individual keys. This technology can be used to achieve a highly accurate, predictable, durable, and esthetic full-arch prosthesis (Figure 10 and Figure 11).50

An exciting innovation to help ensure patient satisfaction with the design of a prosthesis is the evolution of software to facially generate the parameters of the interim prosthesis. Extensive photographic and video data collected with sensitivity to patient facial movements, lip dynamics, and ideal tooth position can be used to create a "virtual patient." The computer-drawn smile design is then superimposed on the scanned cast and translated to the interim prosthesis to harmonize the position of the teeth with the patient's face (Figure 12 through Figure 14).51 Software of this nature aids in positioning maxillary central incisors, the occlusal plane, and tooth size and shape. Most importantly, because the final prosthesis can be an exact fabrication of the interim prosthesis, the patient is able to visualize the esthetics and approve the comfort and function of the prosthesis during this preliminary therapy.

As prosthetic dentistry has taken giant steps toward achieving implant solutions in which living tissue is safeguarded through minimal invasiveness and digital prostheses are engineered with optimal strength, occlusal functionality, and highly customized esthetics, patients themselves have been increasingly engaging in learning via digital means. No longer dependent on dental education from the chairside, patients are presenting in dental care centers with Internet knowledge and high expectations of how their failing dentitions might be restored. Gathering clinical information with an emphasis on esthetics has become paramount for clinicians, and patient involvement in the design of the treatment plan has become a more common protocol. Technology efficiency has led to widespread full-arch solutions, which have critically aided patient acceptance and eliminated many of the early restrictions in implant care.

Conclusion

Marching in step with the medical profession, dental implant prosthodontics will continue to evolve, becoming increasingly robotically assisted for less invasive, more precise surgical procedures with quicker patient recoveries, and utilizing materials that are engineered and manufactured to achieve consistent results. Clinicians must remain comprehensively dedicated to the total wellness of patients, mindful of both their oral requirements and esthetic preferences. As implantology progresses, tissue must be uncompromisingly safeguarded from injury, and smiles should be constructed with precise occlusion and distinctive suitability to each patient's face. New products and methods must be scrupulously tested. Clinicians need to be willing to yield to expertise that is beyond their experience yet be conscious of the intuition that guides their judgments and hands. Technology has indeed lifted the dental/prosthodontic profession to new heights and possibilities, providing methodologies to bring fixed smiles to a wider population with adaptability and affordability.

While Brånemark's theory that there may never be a cure for edentulism still hovers, the digital future is bringing viable fixed prosthetic solutions to a global patient population. Nevertheless, in the midst of rapidly advancing digital dentistry, and with an arsenal of technological tools available, human wisdom in application will always be the most important ingredient in extraordinary prosthodontic care.

Acknowledgment

The authors thank Joanne M. Balshi for editorial assistance.

About the Authors

Sundeep Rawal, DMD
Private Practice specializing in Prosthodontics, Merritt Island, Rockledge, and Winter Park, Florida; Cofounder, Digital Dentistry Institute

Thomas J. Balshi, DDS
Founder, Prosthodontics Intermedica, Fort Washington, Pennsylvania; Clinical Professor, Implant Prosthodontics, Nova Southeastern University, Fort Lauderdale, Florida; Fellow, American College of Prosthodontists

Sajid Jivraj, BDS, MSEd
Private Practice specializing in Prosthodontics, Ventura, California; Cofounder, Digital Dentistry Institute

Bobby Birdi, DMD, MS
Private Practice specializing in Periodontics and Prosthodontics, Vancouver, British Columbia, Canada; Cofounder, Digital Dentistry Institute; Fellow, The Royal College of Dentists of Canada (FRCD[C]); Fellow, American College of Prosthodontists; Diplomate, American Board of Prosthodontics

Queries to the author regarding this course may be submitted to authorqueries@aegiscomm.com.

References

1. Brånemark PI, Hansson BO, Adell R, et al. Osseointegrated implants in the treatment of the edentulous jaw. Experience from a 10-year period. Scand J Plast Reconstr Surg Suppl. 1977;16:37-38.

2. Williams E. A Matter of Balance. Akademiforlaget, Novum Grafiska AB; 1992:70.

3. Brånemark PI, Zarb GA, Albrektsson T. Tissue-Integrated Prostheses: Osseointegration in Clinical Dentistry. Chicago, IL: Quintessence Publishing; 1985:11.

4. Brånemark PI, Zarb GA, Albrektsson T. Tissue-Integrated Prostheses: Osseointegration in Clinical Dentistry. Chicago, IL: Quintessence Publishing; 1985:67.

5. Baier RE, Meyer AE, Natiella JR. Implant surface physics and chemistry: improvements and impediments to bioadhesion. In: Laney WR, ed. Tissue Integration in Oral, Orthopedic & Maxillofacial Reconstruction. Proceedings of the Second International Congress on Tissue Integration in Oral, Orthopedic, and Maxillofacial Reconstruction. Rochester, MN: Quintessence Publishing; 1990:240.

6. Brånemark PI, Hansson BO, Adell R, et al. Osseointegrated implants in the treatment of the edentulous jaw. Experience from a 10-year period. Scand J Plast Reconstr Surg Suppl. 1977;16:30.

7. Brånemark PI, Zarb GA, Albrektsson T. Tissue-Integrated Prostheses: Osseointegration in Clinical Dentistry. Chicago, IL: Quintessence Publishing; 1985:242.

8. Haraldson T. A 10-year functional follow-up of patients with osseointegrated implant bridges. In: van Steenberghe D, Albrektsson T, eds. Tissue Integration in Oral and Maxillo-facial Reconstruction: Proceedings of an International Congress, May 1985, Brussels. Amsterdam, Netherlands: Excerpta Medica; 1986:320-325.

9. Balshi TJ. The conversion prosthesis: a provisional fixed prosthesis supported by osseointegrated titanium fixtures. In: van Steenberghe D, Albrektsson T, eds. Tissue Integration in Oral and Maxillo-facial Reconstruction: Proceedings for an International Congress. May 1985, Brussels. Amsterdam, Netherlands: Excerpta Medica; 1986:354-365.

10. Zarb GA, Jansson T. Laboratory procedures and protocol. In: van Steenberghe D, Albrektsson T, eds. Tissue Integration in Oral and Maxillo-facial Reconstruction: Proceedings for an International Congress. May 1985, Brussels. Amsterdam, Netherlands: Excerpta Medica; 1986;300-305.

11. Balshi TJ, Wolfinger GJ. Immediate loading of Brånemark implants in edentulous mandibles: a preliminary report. Implant Dent. 1997;6(2):83-88.

12. Schnitman PA, Wöhrle PS, Rubinstein JE, et al. Ten-year results for Brånemark implants immediately loaded with fixed prostheses at implant placement. Int J Oral Maxillofac Implants. 1997;12(4):495-503.

13. Balshi TJ, Wolfinger GJ. Management of the posterior maxilla in the compromised patient: historical, current, and future perspectives. Periodontol 2000. 2003;33:67-81.

14. Balshi T, Wolfinger G, Balshi S. Using computer-guided surgery for partial guidance of zygoma implants. Compend Contin Educ Dent. 2012;33(9):682-689.

15. Balshi TJ, Wolfinger GJ, Slauch RW, Balshi SF. A retrospective comparison of implants in the pterygomaxillary region: implant placement with two-stage single-stage, and guided surgery protocols. Int J Oral Maxillofac Implants. 2013;28(1):184-189.

16. Balshi TJ, Wolfinger GJ, Croce JN, Balshi SF. No bone solutions for the severely atrophic maxilla. Dent Today. 2008;27(3):94-98.

17. Balshi SF, Balshi TJ. A "no bone" solution": treating the atrophic maxilla with an immediate implant-supported fixed prosthesis. J Cosmetic Dent. 2012;28(2):126-139.

18. Balshi SF, Allen FD, Wolfinger GJ, Balshi TJ, A resonance frequency analysis assessment of maxillary and mandibular immediately loaded implants. Int J Oral Maxillofac Implants. 2005;20(4):584-594.

19. Maló P, de Araújo Nobre M, Lopes A, et al. A longitudinal study on the survival of All-on-4 implants in the mandible with up to 10 years of follow-up. J Am Dent Assoc. 2011;142(3):310-320.

20. Balshi TJ, Wolfinger GJ, Alfano SG, et al. Fabricating an accurate implant master cast: a technique report. J Prosthodont. 2015;24(8):654-660.

21. Maló P, de Araújo Nobre M, Lopes A, et al. Complete edentulous rehabilitation using an immediate function protocol and an implant design featuring a straight body, anodically oxidized surface, and narrow tip with engaging threads extending to the apex of the implant: a 5-year retrospective clinical study. Int J Oral Maxillofac Implants. 2016;31(1):153-161.

22. Tealdo T, Menini M, Bevilacqua M, et al. Brånemark Novum® immediate loading rehabilitation of edentulous mandibles: 11-year retrospective study. Clin Oral Implants Res. 2015;26(1):83-89.

23. Popper HA, Popper MJ, Popper JP. Teeth in a day. The Branemark Novum system. N Y State Dent J. 2003;69(8):24-27.

24. Gualini F, Gualini G, Cominelli R, Lekholm U. Outcome of Brånemark Novum implant treatment in edentulous mandibles: a retrospective 5-year follow-up study. Clin Implant Dent Relat Res. 2009;11(4):330-337.

25. Engstrand P, Nannmark U, Mårtensson L, et al. Brånemark Novum: prosthodontic and dental laboratory procedures for fabrication of a fixed prosthesis on the day of surgery. Int J Prosthodont. 2001;14(4):303-309.

26. Van Assche N, van Steenberghe D, Guerrero ME, et al. Accuracy of implant placement based on pre-surgical planning of three-dimensional cone-beam images: a pilot study. J Clin Periodontol. 2007;34(9):816-821.

27. Balshi TJ, Balshi SF, Jaffin R, et al. CT-generated surgical guides and flapless surgery. Int J Oral Maxillofac Implants. 2008;23(2):190-197.

28. Balshi SF, Wolfinger GJ, Balshi TJ. Guided implant placement and immediate prosthesis delivery using traditional Brånemark System abutments: a pilot study of 23 patients. Implant Dent. 2008;17(2):128-135.

29. Balshi SF, Wolfinger GJ, Balshi TJ. Surgical planning and prosthesis construction using computed tomography, CAD/CAM technology, and the Internet for immediate loading of dental implants. J Esthet Restor Dent. 2006;18(6):312-325.

30. Balshi SF, Wolfinger GJ, Balshi TJ. A protocol for immediate placement of a prefabricated screw-retained provisional prosthesis using computed tomography and guided surgery and incorporating planned alveoplasty. Int J Periodontics Restorative Dent. 2011;31(1):49-55.

31. Balshi TJ, Wolfinger GJ, Yang J, et al. Prevalence of non-dental pathology in cone beam computed tomography studies for dental implants. J Implant Advanced Clin Dent. 2013;5(3):21-26.

32. Benavides E, Rios H, Ganz SD, et al. Use of cone beam computed tomography in implant dentistry: the International Congress of Oral Implantologists consensus report. Implant Dent. 2012;21(2):78-86.

33. Horowitz J, Zuabi O, Machtei EE. Accuracy of a computerized tomography-guided template-assisted implant placement system: an in vitro study. Clin Oral Implants Res. 2009;20(10):1156-1162.

34. Puri S, Parciak EC, Kattadiyil MT. Complete mouth reconstruction with implant-supported fixed partial dental prostheses fabricated with zirconia frameworks: a 4-year clinical follow-up. J Prosthet Dent. 2014;112(3):397-401.

35. Stumpel LJ, Haechler W. The metal-zirconia implant fixed hybrid full-arch prosthesis: an alternative technique for fabrication. Compend Contin Educ Dent. 2018;39(3):176-181.

36. Juntavee N, Sirisathit I. Internal accuracy of digitally fabricated cross-arch yttria-stabilized tetragonal zirconia polycrystalline prosthesis. Clin Cosmet Investig Dent. 2018;10:129-140.

37. Carames J, Tovar Suinaga L, Yu YC, et al. Clinical advantages and limitations of monolithic zirconia restorations full arch implant supported reconstruction: case series. Int J Dent. 2015;2015:392496. doi: 10.1155/2015/392496.

38. Abdulmajeed AA, Lim KG, Närhi TO, Cooper LF. Complete-arch implant-supported monolithic zirconia fixed dental prostheses: a systematic review. J Prosthet Dent. 2016;115(6):672-677.

39. Katsoulis J, Mericske-Stern R, Rotkina L, et al. Precision of fit of implant-supported screw-retained 10-unit computer-aided-designed and computer-aided-manufactured frameworks made from zirconium dioxide and titanium: an in vitro study. Clin Oral Implants Res. 2014;25(2):165-174.

40. Rojas Vizcaya F. Retrospective 2- to 7-year follow-up study of 20 double full-arch implant-supported monolithic zirconia fixed prostheses: measurements and recommendations for optimal design. J Prosthodont. 2018;27(6):501-508.

41. Bidra AS, Tischler M, Patch C. Survival of 2039 complete arch implant-supported zirconia prostheses: a retrospective study. J Prosthet Dent. 2018;119(2):220-224.

42. Chang JS, Ji W, Choi C, Kim S. Catastrophic failure of a monolithic zirconia prosthesis. J Prosthet Dent. 2015;113(2):86-90.

43. Tiossi R, Gomes EA, Faria ACL, et al. Influence of cyclic fatigue in water on screw torque loss of long-span one-piece implant-supported zirconia frameworks. J Prosthodont. 2017;26(4):315-320.

44. Gomes EA, Tiossi R, Fari AC, et al. Torque loss under mechanical cycling of long-span zirconia and titanium-cemented and screw-retained implant-supported CAD/CAM frameworks. Clin Oral Implants Res. 2014;25(12):139-1402.

45. Drago C, Howell K. Concepts for designing and fabricating metal implant frameworks for hybrid implant prostheses. J Prosthodont. 2012;
21(5):413-424.

46. Goodacre BJ, Goodacre CJ, Baba NZ, Kattadiyil MT. Comparison of denture base adaptation between CAD-CAM and conventional fabrication techniques. J Prosthet Dent. 2016;116(2):249-256.

47. Tischler M, Ganz SD, Patch C. An ideal full-arch tooth replacement option: CAD/CAM zirconia screw-retained implant bridge. Dent Today. 2013;32(5):98-102.

48. Balshi TJ, Wolfinger GJ, Alfano SG, Balshi SF. The retread: a definition and retrospective analysis of 205 implant-supported fixed prostheses. Int J Prosthodont. 2016;29(2):126-131.

49. Maló P, de Araújo Nobre M, Borges J, Almeida R. Retrievable metal ceramic implant-supported fixed prostheses with milled titanium frameworks and all-ceramic crowns: retrospective clinical study with up to 10 years of follow-up. J Prosthodont. 2012;21(4):256-264.

50. Balshi TJ, Balshi SF. A new digital solution for implant-supported restorations. Inside Dental Technology. 2017;8(3):40-46.

51. Coachman C, Calamita MA, Coachman FG, et al. Facially generated and cephalometric guided 3D digital design for complete mouth implant rehabilitation: a clinical report. J Prosthet Dent. 2017;117(5):577-586.

Fig 1. Cast hybrid framework utilizing high noble alloy, circa 1985; buccal view (Fig 1) and occlusal view (Fig 2).

Figure 1

Fig 2. Cast hybrid framework utilizing high noble alloy, circa 1985; buccal view (Fig 1) and occlusal view (Fig 2).

Figure 2

Fig 3. Conversion prosthesis on lower arch at time of implant placement, circa 1990s.

Figure 3

Fig 4. Conversion prosthesis utilized in articulation.

Figure 4

Fig 5. The first codified surgical and prosthetic protocol for immediate-load treatment of edentulism used a prefabricated bar for rigidity, eliminating movement through the healing period, circa 2006 (images courtesy of Stephen M. Parel, DDS).

Figure 5

Fig 6. The first codified surgical and prosthetic protocol for immediate-load treatment of edentulism used a prefabricated bar for rigidity, eliminating movement through the healing period, circa 2006 (images courtesy of Stephen M. Parel, DDS).

Figure 6

Fig 7. Definitive monolithic zirconia prosthesis.

Figure 7

Fig 8. Definitive milled monolithic acrylic prosthesis on titanium framework.

Figure 8

Fig 9. Individual crowns on framework.

Figure 9

Fig 10. Using a fully computer-generated digital set-up, zirconia restorations are prescribed for molars and premolars bilaterally and lithium disilicate for the anterior teeth.

Figure 10

Fig 11. The restorations from Fig 10 are shown in the patient’s mouth at a recall visit.

Figure 11

Fig 12 through Fig 14. Digital smile design software enables parameters of interim prosthesis to be facially generated; (Fig 12) front view, (Fig 13) occlusal view, (Fig 14) 12 o’clock view.

Figure 12

Fig 12 through Fig 14. Digital smile design software enables parameters of interim prosthesis to be facially generated; (Fig 12) front view, (Fig 13) occlusal view, (Fig 14) 12 o’clock view.

Figure 13

Fig 12 through Fig 14. Digital smile design software enables parameters of interim prosthesis to be facially generated; (Fig 12) front view, (Fig 13) occlusal view, (Fig 14) 12 o’clock view.

Figure 14

CREDITS: 0
AGD CODE: 610 - Fixed Prosthodontics
COST: $0
PROVIDER: Conexiant Education
SOURCE: Compendium of Continuing Education in Dentistry | October 2019

Learning Objectives:

  • Discuss the early development of implant dentistry to address edentulism
  • Describe the advent and refinement of the immediately loaded conversion prosthesis and related protocols
  • Discuss digital approaches to full-arch fixed prosthetic implant solutions

Disclosures:

The author reports no conflicts of interest associated with this work.

Queries for the author may be directed to justin.romano@broadcastmed.com.