Chairside Resin-Based Provisional Restorative Materials for Fixed Prosthodontics

Howard E. Strassler, DMD; and Robert A. Lowe, DDS

November/December 2011 Issue - Expires Wednesday, December 31st, 2014

Compendium of Continuing Education in Dentistry

Abstract

Provisional restorations are vital to fixed prosthodontics treatment, providing an important diagnostic function while in place. In addition to protecting the prepared teeth, provisionalization enables clinicians to refine biologic and biomechanical issues before the final restoration is fabricated. Adjustments can be made in the provisional restoration to achieve both the clinician’s and patient’s desired results. The fabrication of temporary restorations requires that clinicians be proficient with a variety of materials and techniques that can be used to make well-adapted and functional provisionals. There are many material choices available to temporize a single crown as well as multi-unit fixed partial dentures, and the selection of provisional materials should be made based on a case-by-case evaluation. This article provides a review of polymeric resin provisional materials.

You must be signed in to read the rest of this article.

Login Sign Up

Registration on CDEWorld is free. You may also login to CDEWorld with your DentalAegis.com account.

Interim restorations, also referred to as provisional or temporary restorations, are a critical component of fixed prosthodontic treatment, both biologically and biomechanically.1 When treatment-planning to restore a tooth with a full-coverage crown restoration or onlay, sequential steps must be followed to ensure a routine, predictable final result—the successful try-in and cementation. The same is true for multiple restorations in the same quadrant or for fixed partial dentures (FPDs). Independent of the restorative material, the final crown, onlay, or FPD is fabricated from either all-ceramic, composite, porcelain-metal, or all-metal material, and placement of the definitive restoration requires that the restoration have physiologic proximal contact and occlusion when indicated. Achieving this result and ensuring minimal adjustment of the laboratory-fabricated restoration during insertion requires that a well-made, smooth, properly adapted, and correct-fitting provisional restoration be placed and reused between appointments until the definitive restoration is cemented.

Temporary or provisional single-crown or FPD restorations protect the underlying tooth preparation and pulp while the definitive restoration is being fabricated by the laboratory. This pulpal protection promotes pulpal healing after the trauma of tooth preparation. Also, once cemented these restorations need to provide thermal protection and seal the preparation protecting the dentin from bacterial invasion.

A well-adapted and contoured provisional crown contributes to the return to health of any traumatized soft tissues during crown preparation and impression-making by allowing the patient to maintain his or her oral hygiene adjacent to the temporary crown with brushing and flossing.2 The provisional can also provide the clinician with critical information by helping the clinician decide whether or not there is adequate occlusal clearance and reduction of the tooth preparation for the final restoration.2 By measuring the thickness of the provisional restoration using specialized gauges, reduction and clearance can be evaluated. Polishability, plaque retentiveness, and techniques for coating and smoothing the surface all can affect periodontal health. To allow for the maintenance of periodontal health, materials used for provisional restorations need to be smooth and not plaque-retentive.3-5

Determining Variables

Temporary restorations are trial restorations that help clinicians determine the desired shape, size, contours, lengths, widths, occlusion, and other variables during the fabrication of the definitive restoration. In the case of anterior esthetic restorations, the provisional crowns can provide the clinician with guidance as an esthetic trial to the color (shade), contours, length, widths, shapes, and positioning of the teeth as well as arch alignment before fabrication of the final porcelain-metal or all-porcelain restoration. Adjustments can be made in the provisional restoration to achieve the clinician's and patient's desired results.6 Anterior provisional restorations can also provide an evaluation of the shape, size, and position of the anterior restorations during speech. Adjustments can be made if needed. The clinician can then make an impression of the adjusted provisional to provide guidance to the dental laboratory when fabricating the definitive restoration.

If more than one tooth is being restored, provisional crowns provide important diagnostic information that help determine the desired occlusal relationships, and in cases where the crowns are being used to alter the occlusal vertical dimension, these provisional restorations are a guide to the desired occlusal position. The materials used for provisional restorations must be durable enough to stay in place for the duration of time required to accomplish the necessary steps involved and until the return and placement of the definitive restoration.

Provisional restorations must be fabricated such that they can be easily removed without damaging the existing tooth preparation. Other important purposes for the provisional restoration include the maintenance of the tooth preparation position both occlusally and proximally.1,7-9 The provisional restoration should be adjusted to duplicate the desired final occlusion and must have proximal contact with adjacent teeth to avoid tooth movement and shifting, which can adversely impact the placement of the final restoration. If the tooth or teeth that have been prepared shift after the impression is made, the restoration(s) returned by the laboratory will likely require additional chair time to make the necessary adjustment of proximal contacts and occlusal adjustment during try-in before cementation. In some cases the movement of the tooth preparation can change the path of insertion for the final crown or FPD and may not allow complete seating of the restoration during try-in. In the case of a multiple-unit FPD with a metal framework, the restoration may need to be sectioned for soldering, and if the FPD is all-ceramic it may require a new impression and possibly a new fabrication of the restoration.

Patients must understand that if a provisional restoration is fractured or dislodged it is imperative that they make an appointment to return to the dentist as soon as possible to have the restoration recemented, repaired, or replaced. Teeth can shift within 24 hours after loss of the provisional restoration. In extreme cases when teeth have moved due to loss or fracture of the provisional restoration, the practitioner might have to fabricate acrylic resin copings and make a pick-up impression so that the laboratory has the new tooth preparation positions when prefabricating the final restoration.10,11 In some cases involving tooth movement, the tooth preparation might need to be orthodontically repositioned or the teeth re-prepared. This leads to a significant increase in chair time and may lead to patient dissatisfaction due to additional procedures and office visits. For the tooth that has shifted only a minor amount, the consequences may only be an increase in chair time during the cementation appointment.

Polymeric Resin Provisional Materials

The fabrication of temporary restorations for a single-crown requires that clinicians be proficient with a variety of materials and techniques that can be used to make well-adapted and functional provisionals. There are many choices to temporize a single crown, including prefabricated metal crowns, polycarbonate crowns, celluloid crowns, composite resin crowns, acrylic resin for custom provisionals, bis-acryl or bisphenol A diglycidylether methacrylate (bis-GMA) automix composite resin materials, and composite resin for custom fabrication.1,2,8,9,12,13 For multi-unit FPDs the clinician's choices include acrylic resins, bis-acryl, bis-GMA, and rubberized-urethane automix composite materials or laboratory-fabricated resin shells.

This article will review polymeric resin provisional materials, which are the most commonly used materials for provisional restoratives. Polymeric resins can be divided into two subclasses: acrylic resin and composite resin. The same techniques have been described when using either type of polymeric resin to fabricate provisional restorations during prosthodontic treatment.

Acrylic Resin Provisional Materials

Acrylic resin provisional materials typically refer to two different chemical materials: polymethylmethacrylate (PMMA) and polyethylmetacrylate (PEMA). While there are other dental resins, this article will focus on these two most commonly used acrylic resins, which for many years have been the standard for fixed prosthodontic provisional restorations. Also referred to as self-curing, autopolymerizing, and cold cure,12 these resins have been well accepted as restorative materials and have long been and continue to be used for the fabrication of temporary restorations.

Typically, when fabricating a temporary restoration with acrylic resin, a custom shell that will be relined with acrylic resin at the time of tooth preparation and that mimics the final contours and anatomy of the desired temporary restoration can be used. Another technique is the use of a carrier matrix (template) for the provisional restorative material that has been fabricated prior to the tooth preparation appointment. The dental literature describes the use of warmed wax, premade acrylic shells, vacuum-formed polypropylene matrices, and vinyl polysiloxane (VPS) impressions for this carrier matrix.1,8,9,14-16 When evaluating matrix types on surface roughness of resin, there was no universal matrix that produced the smoothest surface for the resin.17

With acrylic resin, the fabrication of the provisional restoration usually requires mixing a powder and liquid together to form a paste that is placed in either a premade shell, a template, or carrier that is placed over the tooth preparation. When the acrylic resin reaches a rubbery consistency, the carrier is removed with the acrylic resin from the tooth preparation so that the resin can achieve complete polymerization and hardening. It is usually difficult to time the setting and working stages of the polymerization reaction of acrylics because of the inaccurate method of dispensing and mixing the polymer powder and liquid monomer. Although these materials are tooth-colored and relatively inexpensive they are difficult to manipulate and have poor physical properties.8,18 Powder-liquid acrylic resins are typically PMMA, but they can also be PEMA. The clinician should know which resin is being used. The clinician should bear in mind that these materials can be difficult to handle because they are mixed as a powder to liquid. The consistency from runny liquid to putty-like occurs over several minutes.

Other difficulties with acrylic resins include relatively high polymerization shrinkage and the generation of significant heat during polymerization. Care must be taken to avoid pulpal and gingival damage, and to remove the acrylic resin before excessive heat of polymerization occurs.9,12,19 As noted earlier, when using these materials, to minimize shrinkage of the resin, the provisional crown or FPD should be placed in a cup of room-temperature water while in a rubbery state. Although hot water will accelerate the setting of the resin, the hot water and the heat of the polymerization of the resin will cause the resin to shrink and distort at a greater rate than if the resin was setting in room-temperature water.20 At room temperature the water will equalize the heat of polymerization of the acrylic resin.7,9,20

Other issues with acrylic resins are that on rare occasions they can cause allergic hypersensitivity,21-24 and they can also discharge an unpleasant odor while setting.8,18,20,25 These resins also have a high coefficient of thermal expansion, low strength, low modulus of elasticity, and poor abrasion resistance to wear.18,20 For the short time period that these resins are designed to be used, they are dimensionally stable and stain-resistant.6,26,27 However, if used for extended periods of time these resins will show significant wear in occlusal function, are susceptible to breakage, have poor fit, and can discolor over time.28,29

Evidence has shown that the more complex the case, especially for multi-unit, multi-pontic clinical situations that require long-term durability, having the ability to reline marginal areas and repair fractures is critical, and acrylic resin PMMA provisional materials are generally selected for such cases.8,30,31 Also, for long-span FPDs fabricated with acrylic resins, an increase in flexural strength and resistance to breakage can be attained through the use of fiber reinforcement embedded in the provisional material.32,33

Composite Resin Provisional Materials

Introduced in recent years, composite resin provisional materials were developed to overcome some of the deficiencies of acrylic resin for interim crown restorations. Composite resin materials have improved physical properties and enable a more predictable, easier fabrication of a provisional crown restoration.14,15,18,20,25,28,33,34 The chemistry of these provisional composite resins are either bis-acryl, bis-GMA, or rubberized-urethane resins. They can be light-cured, self-cured (autocured), or dual-cured. These provisional materials are typically dispensed in a double-barrel tube configuration where the catalyst and base pastes are mixed in automixing tips. They are used in a similar manner to acrylic resins. The provisional composite resin material is placed in a matrix carrier, placed over the tooth preparations, removed, and then trimmed, adjusted, and polished (Figure 1, Figure 2, Figure 3 and Figure 4).

The majority of automix provisional composite resins are bis-acryl. Other provisional composite materials for single crowns are manufactured as a preformed composite crown or as a composite resin putty stick where the desired amount of composite resin is cut from the putty stick for use in fabricating the provisional restoration. Composite provisional materials typically have significantly less shrinkage than acrylic resin due to the presence of radiopaque glass fillers, which also improves the fit of the provisional restoration to the tooth preparation.15,29,34 Glass fillers also improve the wear characteristics of the material.

When a bis-acryl composite resin provisional material was compared to PMMA, one study concluded that the bis-acryl material was significantly superior as a provisional restorative material based upon physical properties.35 One concern with resin-based restorative materials is environmental damage due to dietary solvents. Bis-acryl composites were more resistant to the problems of wear and color changes than other provisional materials.35,36 One drawback though is their brittle nature.12,37,38

Bis-acryls have a paste-paste formulation, which undergoes a three-stage polymerization reaction. The first phase transitions from a free-flowing paste that adapts to the tooth preparation and then becomes elastic within 60 to 75 seconds. The second phase, which extends over the next 4 minutes, is a cross-linking polymerization reaction that enables the polymer to reach a high compressive strength. The final phase of polymerization allows the resin to reach its final hardness within 5 minutes after initial mixing so that the restoration can be adjusted and polished before cementation.

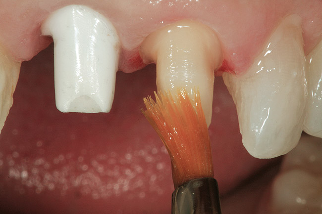
A similar setting reaction is seen with rubberized-urethane composite provisional materials (Figure 5, Figure 6 and Figure 7). The change in chemistry with the rubberized-urethane involves the insertion of a synthetic rubber molecule into a diurethane dimethacrylate resin, which improves the resin's physical properties—an increased flexural strength when compared to a traditional bis-acryl.39

It has been reported that the family of composite resins used for provisional restorations have advantages over other resin-based provisional materials.* Because they are a filled composite resin, they are harder and more resistant to dietary solvents and occlusal wear than unfilled acrylic resin. Also, these resins are easy to use and set quickly, such that they can be removed from the mouth after 75 to 90 seconds with less chance to cause thermal damage to the pulp. Being more flexible, these resins simplify insertion and removal, and their lower modulus makes them able to withstand occlusal forces and breakage. They feature minimal polymerization shrinkage and minimal heat of polymerization, are radiopaque, and can be easily repaired with a flowable composite resin.42,43 Furthermore, they offer excellent color stability and stain resistance, have little odor when mixed, and require minimal polishing when used with a resin glaze.

Temporization material has also become available as a light-cured composite-resin preformed crown for single-unit crown temporization of posterior teeth. This material combines the advantages of composite-based temporization materials such as fit, wear resistance, and esthetics, with the benefits of prefabricated crowns, which include ease of use, no need for additional matrix, and easy clean-up. A preformed, moldable composite-based crown can be fitted and adapted in less than 4 minutes and offers an improvement in physical properties when compared to other preformed provisional materials.13 In its uncured condition is handles like putty that can be easily molded and reshaped using traditional composite instruments. Its moldable state offers ease of adaptation to the buccal, lingual, and interproximal margins and can attain proximal and occlusal contacts before light-curing. It can be polished similar to any composite resin, or a paint-on liquid polish can be used to acquire a smooth, shiny surface.

Conclusion

Provisional or interim restorations are an important element of fixed prosthodontic treatment both biologically and biomechanically,1 providing an important diagnostic function while in place and playing a critical role in evaluating the physiologic position of the final restoration. In the esthetic zone they are important in evaluating the esthetics for the definitive restoration. The provisional restoration can be viewed as a blueprint for the design of the definitive prosthesis.1

There are many choices of materials for use as interim restorations, and clinicians should make their selection based upon the clinical needs for each patient. As part of these considerations clinicians must have an understanding of the material's physical properties, handling characteristics, and durability needed for the restoration, as well as the patient's response to the appearance of the interim restoration. The cost of the material is also a consideration. No single material meets all the requirements for provisional restorations. Moreover, the classification of any provisional restorative material does not ensure clinical success based upon general physical properties. Selection of provisional materials should be based on a case-by-case evaluation for any given patient. Perhaps as equally as important is the clinician's mastery of techniques for handling and using multiple materials to achieve effective physiologic provisional restorations.

Based upon the evidence, it appears that bis-acryl and bis-GMA materials are in most cases appropriate for single-unit restorations and less complex three- or four-unit FPDs. For more complex cases, especially multi-unit, multi-pontic clinical situations that require long-term durability and involve relining marginal areas and repairing fractures, the use of PMMA provisional materials are generally better suited.44-46

References

1. Gratton DG, Aquilino SA. Interim restorations. Dent Clin North Am. 2004;48(2):487-497.

2. Strassler HE, Anolik C, Frey C. High strength, aesthetic provisional restorations using a bis-acryl composite. Dent Today. 2007;26(11):128-133.

3. Maalhagh-Fard A, Wagner WC, Pink FE, Neme AM. Evaluation of surface finish and polish of eight provisional restorative materials using acrylic bur and abrasive disk with and without pumice. Oper Dent. 2003;28(6):734-739.

4. Buergers R, Rosentritt M, Handel G. Bacterial adhesion of Streptococcus mutans to provisional fixed prosthodontic material. J Prosthet Dent. 2007;98(6):461-469.

5. Davidi MP, Beyth N, Weiss EI, et al. Effect of liquid-polish coating on in vitro biofilm accumulation on provisional restorations: Part 2. Quintessence Int. 2008;39(1):45-49.

6. Vahidi F. The provisional restoration. Dent Clin North Am. 1987;31(3):363-381.

7. Strassler HE. Provisional crown and bridge resin materials: an update. Maryland State Dental Association Journal. 1998;41(1):11-12.

8. Gegauff AG, Holloway JA. Interim fixed restorations. In: Rosenstiel SF, Land MF, Fujimoto J, eds. Contemporary Fixed Prosthodontics. 4th ed. Mosby Elsevier; 2006:466-504.

9. Zinner ID, Trachtenberg DI, Miller RD. Provisional restorations in fixed partial prosthodontics. Dent Clin North Am. 1989;33(3):355-377.

10. Passon C, Goldfogel M. Transfer copings made of visible light-cured resin. J Prosthet Dent. 1991;66(5):611-613.

11. Christensen LC, Whitsitt JA. Use of acrylic resin coping to align fixed partial denture abutment preparations. J Prosthet Dent. 1983;49(4):587.

12. Lui JL, Setcos JC, Phillips RW. Temporary restorations: a review. Oper Dent. 1986;11(3):103-110.

13. Jones T, Karim N, Winters E, et al. A new temporary preformed curable crown material: mechanical properties. J Dent Res. 2007;87(special issue A): Abstract 130.

14. Bis-acryl provisional materials. CRA Newsletter. 1997;21(2):3.

15. Provisional materials. Adept Report. 1997;5(3):1-16.

16. Martinez-Rodriguez T. Procedure for reconstruction with autopolymerizing resins in the mouth. Dent Abstr. 1956;1:82-83.

17. Avuso-Montero R, Martinez-Gomis J, Lujan-Climent M, et al. Influence of matrix type on surface roughness of three resins for provisional crowns and fixed partial dentures. J Prosthodont. 2009;18(2):141-144.

18. Powers JM. Prosthetic applications of polymers. In: Powers JM, Sakaguchi RL, eds. Craig's Restorative Dental Materials. 12th ed. Mosby Elsevier; 2006:513-543.

19. Altintas SH, Yondem I, Tak O, Usumez A. Temperature rise during polymerization of three different provisional materials. Clin Oral Investig. 2008;12(3):283-286.

20. Powers JM. Mechanical properties. In: Powers JM, Sakaguchi RL, eds. Craig's Restorative Dental Materials. 12th ed. Mosby Elsevier; 2006:51-96.

21. Giunta J, Zablotsky N. Allergic stomatitis caused by autopolymerizing resin. Oral Surg Oral Med Oral Path. 1976;41(5):631-637.

22. Stugis TE, Fink JN. Hypersensitivity to acrylic resin. J Prosthet Dent. 1969;22(4):425-428.

23. Kanerva L, Estlander T, Jolanki R. Allergy caused by acrylics: past, present and prevention. Curr Probl Dermatol. 1996;25:86-96.

24. Fan PL, Meyer DM. FDI report on adverse reactions to resin-based materials. Int Dent J. 2007;57(1):9-12.

25. Driscoll CF, Woolsey G, Ferguson WM. Comparison of exothermic release during polymerization of four materials used to fabricate interim restorations. J Prosthet Dent. 1991;65(4):504-506.

26. Givens EJ Jr, Neiva G, Yaman P, Dennison JB. Marginal adaptation and color stability of four provisional materials. J Prosthodont. 2008;17(2):97-101.

27. Koumjian JH, Firtell DN, Nimmo A. Color stability of provisional materials in vivo. J Prosthet Dent. 1991;65(6):740-742.

28. Sham AS, Chu FC, Chai J, Chow TW. Color stability of provisional prosthodontic materials. J Prosthet Dent. 2004;91(5):447-452.

29. Young HM, Smith CT, Morton D. Comparative in vitro evaluation of two provisional restorative materials. J Prosthet Dent. 2001;85(2):129-132.

30. Lodding DW. Long-term esthetic provisional restorations in dentistry. Curr Opin Cosmet Dent. 1997;4:16-21.

31. Emtiaz S, Tarnow DP. Processed acrylic resin provisional restoration with lingual cast metal framework. J Prosthet Dent. 1998;79(4):484-488.

32. Saygili G, Sahmali SM, Demirel F. The effect of placement of glass fibers and aramid fibers on the fracture resistance of provisional restorative materials. Oper Dent. 2003;28(1):80-85.

33. Hamza TA, Rosenstiel SF, Elhosary MM, Ibraheem RM. The effect of fiber reinforcement on the fracture toughness and flexural strength of provisional restorative resins. J Prosthet Dent. 2004;91(3):258-264.

34. Powers JM. Resin composite restorative materials. In: Powers JM, Sakaguchi RL, eds. Craig's Restorative Dental Materials. 12th ed. Mosby Elsevier; 2006:189-212.

35. Young HM, Smith CT, Morton D. Comparative in vitro evaluation of two provisional materials. J Prosthet Dent. 2001;85(2):129-132.

36. Yap AU, Mah MK, Lye CP, Loh PL. Influence of dietary simulating solvents on the hardness of provisional restorative materials. Dent Mater. 2004;20(4):370-376.

37. Yilmaz A, Baydas S. Fracture resistance of various temporary crown materials. J Contemp Dent Pract. 2007;8(1):44-51.

38. Rutkunas V, Sabaliasuskas V, Mizutani H. Effects of different food colorants and polishing techniques on color stability of provisional prosthetic materials. Dent Mater J. 2010;29(2):167-176.

39. Levine E, Hack G, Prymas S. Using biomaterial investigative skills to assist in the clinical decision making process. J Dent Educ. 2011;75(2):190-256. Abstract 117.

40. Akova T, Ozkomur A, Uysal H. Effect of food-simulating liquids on the mechanical properties of provisional restorative materials. Dent Mater. 2006;22(12):1130-1134.

41. Hamza TA, Rosenstiel SF, Elhosary MM, Ibraheem RM. The effect of fiber reinforcement on the fracture toughness and flexural strength of provisional restorative resins. J Prosthet Dent. 2004;91(3):258-264.

42. Bohnenkamp DM, Garcia LT. Repair of bis-acryl provisional restorations using flowable composite resin. J Prosthet Dent. 2004;92(5):500-502.

43. Hagge MS, Lindemuth JS, Jones AG. Shear bond strength of bis-acryl composite provisional material repaired with flowable composite. J Esthet Restor Dent. 2002;14(1):47-52.

44. Rosentritt M, Behr M, Lang R, Handel G. Flexural properties of prosthetic provisional polymers. Eur J Prosthodont Restor Dent. 2004;12(2):75-79.

45. Lang R, Rosentritt M, Behr M, Handel G. Fracture resistance of PMMA and resin matrix composite-based interim FPD materials. Int J Prosthodont. 2003;16(4):381-384.

46. Geerts GA, Overturf JH, Oberholzer TG. The effect of different reinforcements on the fracture toughness of materials for interim restorations. J Prosthet Dent. 2008;99(6):461-467.

*References 2, 7, 14, 15, 20, 28, 29, 32, 33, 36, 37, 40, 41

About the Authors

Howard E. Strassler, DMD
Professor, Division of Operative Dentistry
Department of Endodontics, Prosthodontics, and Operative Dentistry
University of Maryland Dental School
Baltimore, Maryland

Robert A. Lowe, DDS
Private Practice
Charlotte, North Carolina

Figure 1  Completed crown preparation for maxillary molar.

Figure 1

Figure 2  Syringing bis-acryl composite into PVS template.

Figure 2

Figure 3  PVS template is removed from mouth after 75 seconds with interim crown in template.

Figure 3

Figure 4  Completed interim restoration.

Figure 4

Figure 5  Crown preparations for implant abutment maxillary right central incisor and natural tooth left central incisor. Water-soluble lubricant is painted on preparation surfaces as a release agent.

Figure 5

Figure 6  PVS template removed after 90 seconds. The provisional rubberized-urethane resin has a putty-like consistency and has remained in the template.

Figure 6

Figure 7   Completed provisional restoration.

Figure 7

Learning Objectives:

Learning Objectives

 

  • describe the functions of provisional restorations in fixed prosthodontics

  • list resin-based materials that can be used for provisional restorations in fixed prosthodontics

  • compare composite provisional resins and acrylic resins used for provisional restorations in fixed prosthodontics

 

Disclosures:

The author reports no conflicts of interest associated with this work.

Queries for the author may be directed to justin.romano@broadcastmed.com.