Assessing the Impact of the Hybrid Aligner Model in a Real Practice Setting: An Independent Evaluation

Payam C. Ataii, DMD, MBA

May 2022 Course - Expires Monday, March 31st, 2025

Compendium of Continuing Education in Dentistry

Abstract

An esthetically pleasing alternative to traditional orthodontic appliances, clear aligner therapy has undergone substantial improvements over the last 15 years. As the therapy has grown in popularity, some aligner companies have introduced a hybrid business model that utilizes partner networks. This hybrid model combines teledentistry with in-person office visits to administer clear aligner therapy, providing patients with a convenient treatment option for addressing their orthodontic problems. By involving partner network practices in case selection and the in-office evaluation of patients for clear aligner therapy, the hybrid model benefits these practices by helping enable them to acquire and retain new patients. In the author’s experience, patients also can potentially benefit from the hybrid model beyond the convenience of the treatment process, as individuals who may not currently have a primary care dentist are able to access oral health care through the partner network. This article examines the advantages of the hybrid clear aligner model, and provides a case report of clear aligner treatment successfully administered through this process.

You must be signed in to read the rest of this article.

Login Sign Up

Registration on CDEWorld is free. You may also login to CDEWorld with your DentalAegis.com account.

Clear aligner therapy was introduced in 1945 by Dr. Harold Kesling, who developed the first removable orthodontic appliance. Using a series of thermoplastic rubber-based tooth positioners, this appliance worked by changing the tooth position on the setup slightly over the course of treatment, thus achieving tooth alignment.1 This new method of tooth repositioning that did not rely on the use of brackets and wires progressed still further with the introduction of an industrial-grade vacuum former, which in 1959 was used by Dr. Henry Isaac Nahoum to fabricate a thinner, transparent ("clear") thermoplastic appliance capable of orthodontic tooth movement.2 Since that time, clear aligner therapy has evolved considerably, particularly during the last 15 years, with advances in automated custom manufacturing3 and in the materials used to widen the range of tooth movements.4 Furthermore, studies in the peer-reviewed literature are beginning to show the clinical effectiveness of clear aligner therapy in addressing mild to moderate cases with equivalent success to fixed appliance therapy on selected cases.5,6

Along with the technological advances, decades of clinical delivery, and the growing body of research regarding clear aligner therapy, patients have also become more aware of the advantages of this mode of orthodontic treatment, in part because of direct-to-consumer advertising.7

THE HYBRID MODEL

Many patients prefer clear aligner therapy over traditional orthodontic appliances because of its superior esthetics and comfort,8,9 while its convenience and affordability have also contributed to the therapy's widespread popularity.10 As consumer demand for clear aligner treatments continues to grow, some aligner companies have introduced a hybrid business model that utilizes partner networks, combining teledentistry with in-person office visits. Such partner networks help patients locate an in-network dentist to perform their oral evaluation before starting clear aligner treatment. After the evaluation, the patient's scans and photographs are sent for review to the clear aligner company's state-licensed practitioners, who then prescribe the treatment that is most appropriate to address the patient's malocclusion, and one of whom will be appointed the patient's teledentistry treating clinician. In the author's experience, this hybrid model allows for a better patient experience and helps the in-network dental practitioner acquire new patients, at no cost to the participating office.

At the start of the clear aligner therapy, the patient will have teledentistry check-ins with the clear aligner company's treating practitioner to ensure proper aligner tracking. The hybrid model is set up to provide 24/7 access to a dental care team, who can assist the patient with any questions about aligner tracking, mid-course corrections, lost aligners, or any other treatment concerns. If new scans need to be taken for mid-course corrections, the patient can revisit the in-network dental office, which will then send the new scans or impressions to the teledentistry treating clinician to adjust the patient's aligner treatment as needed.

Practice Onboarding

Some aligner companies encourage interested dental practitioners to fill out an online form on their website with their contact information to learn more about the offering. Next, a representative from the aligner company will reach out to the practitioner to share more on the program.

Responsibilities differ depending on the aligner company and their particular hybrid model. Regardless, it is important to note that a state-licensed dentist or orthodontist maintains sole responsibility for all clinical aspects of the patient's care, including evaluating, diagnosing, and, if appropriate in the affiliated clinician's independent professional judgment, treating the patient's condition with clear aligner therapy using a teledentistry platform. The aligner company's involvement in the process is typically limited to providing administrative, non-clinical Dental Service Organization (DSO) services such as billing and collections, record keeping, drafting a proposed treatment plan for clinician review, arranging for the manufacture and shipment of the clear aligners, and the collection of patient information for review by the affiliated doctor.

The Patient Experience

During the visit, the staff at the in-network practice will gather the necessary diagnostic information to submit to the aligner company's teledentistry platform for the patient's teledentistry treating clinician to review, so that he or she can determine if the patient is a candidate for clear aligner therapy. This diagnostic information includes either a dental impression or an intraoral scan to be used to create a 3D image of the dentition, as well as a description of the patient's chief complaint and his or her medical and dental health histories. During the appointment, the patient may ask general questions about clear aligner therapy, the process, and about the in-network clinician's involvement. To ensure process quality, the partnering aligner company will review and train the partner network practice's team during the onboarding such that every team member understands the process.

During treatment, the patient is required to check in routinely with his or her state-licensed treating practitioner using the aligner company's teledentistry platform to ensure that treatment is proceeding according to plan; these check-ins give the treating clinician the opportunity to refine the treatment should any changes be needed. Check-ins may include sharing photographs of the patient's progress via a secure portal at key points throughout the course of treatment. Of course, the patient and clinician may communicate more frequently, as needed or desired, using teledentistry platform options, including email, chat, video, and phone, and, if necessary, in person. One aligner company in particular offers 24/7/365 access to customer care and dental care teams, and helps patients connect with their treating clinician.

Financial Benefits

In the author's experience, participation in the hybrid model provides an opportunity to serve the needs of patients seeking a low-cost alternative to address their minor tooth crowding or spacing concerns. There are typically no costs involved in starting participation in the hybrid model.

During the author's implementation of the hybrid model at his practice, patients who were ideal minor tooth correction candidates were more receptive to case presentations that included a low-cost alternative. After analyzing the costs associated with traditional simple clear aligner cases that require less than 3 mm of correction, the profit margins were found to be minimal. For instance, simple cases typically retail between $2,000 to $3,000 per case to the prospective patient. After adding in the expenses of supplies, labor, and appliances, the case costs range between $950 and $1,400 (Table 1). In contrast, utilizing the hybrid model allows the practice to generate higher revenues, as the partner network clinician will be providing patients with a low-cost alternative. For moderate or complex cases, the author's practice offers patients traditional clear aligner treatments at a normal fee schedule with the practice's choice of aligner type.

In addition, patients who would not have otherwise sought treatment with the practice may be referred to or seek care from the practice specifically for aligner treatment via the hybrid model. In such cases, the practice benefits by thus gaining a new patient for hygiene and dental procedures that may be needed prior to or during the patient's aligner treatment, and who may continue to use the practice for their other dental care needs after aligner treatment is completed. Dental Service Organizations have reported finding these partnerships to be a helpful model for attracting new patients.11

CASE REPORT: CLEAR ALIGNER THERAPY UTILIZING THE HYBRID MODEL

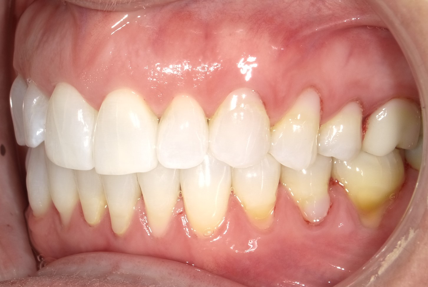
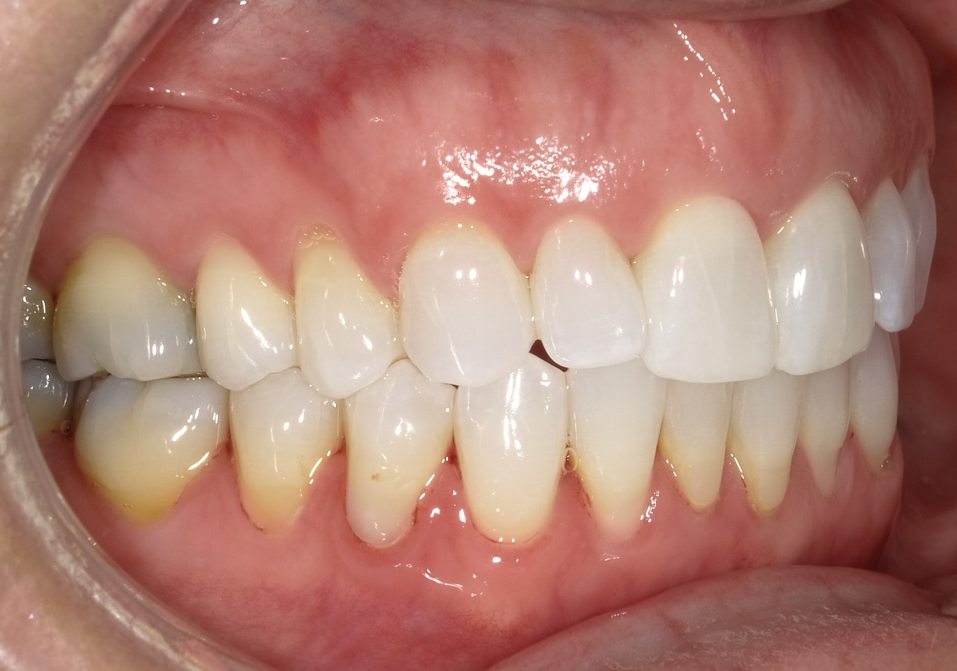
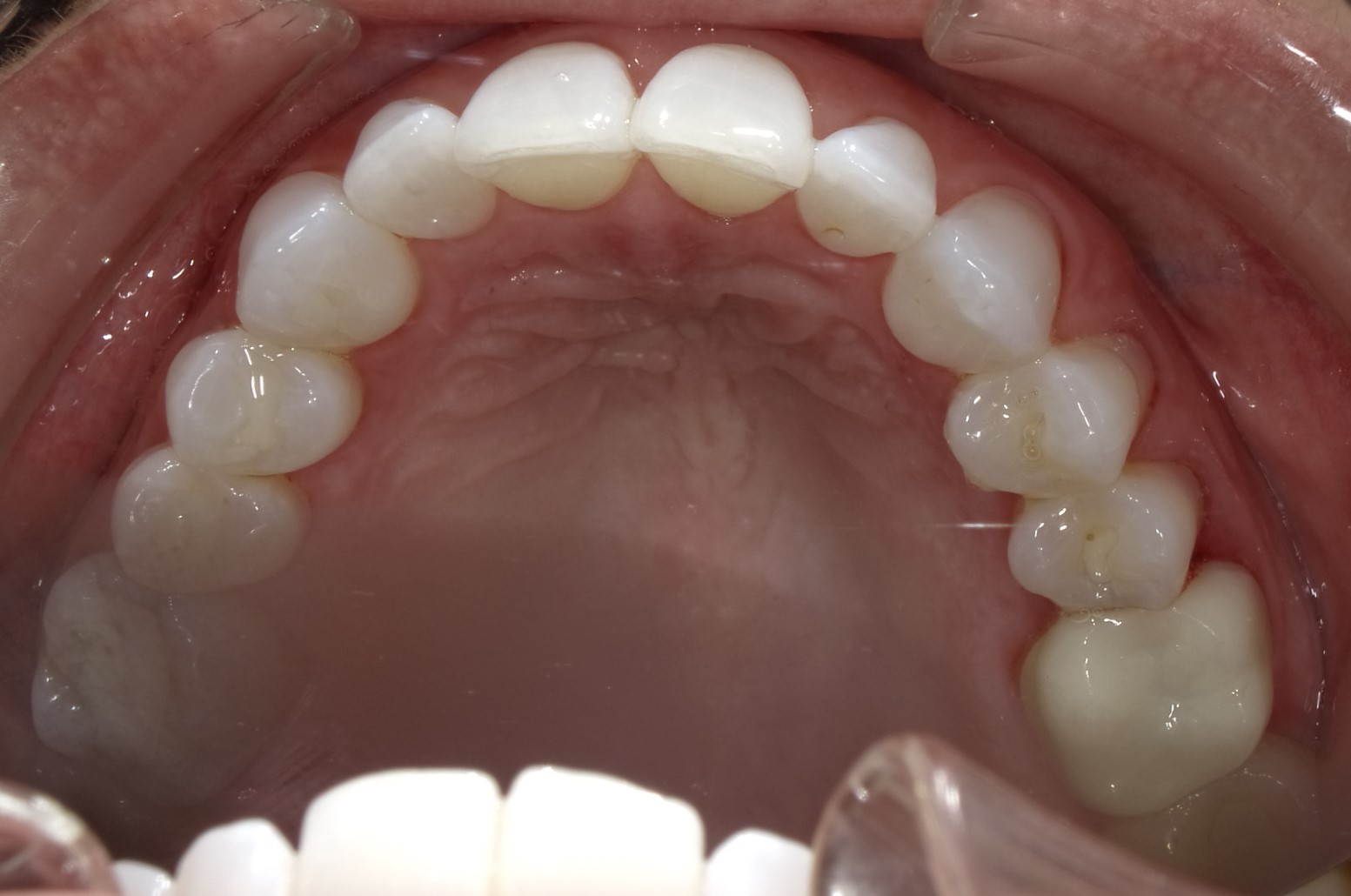
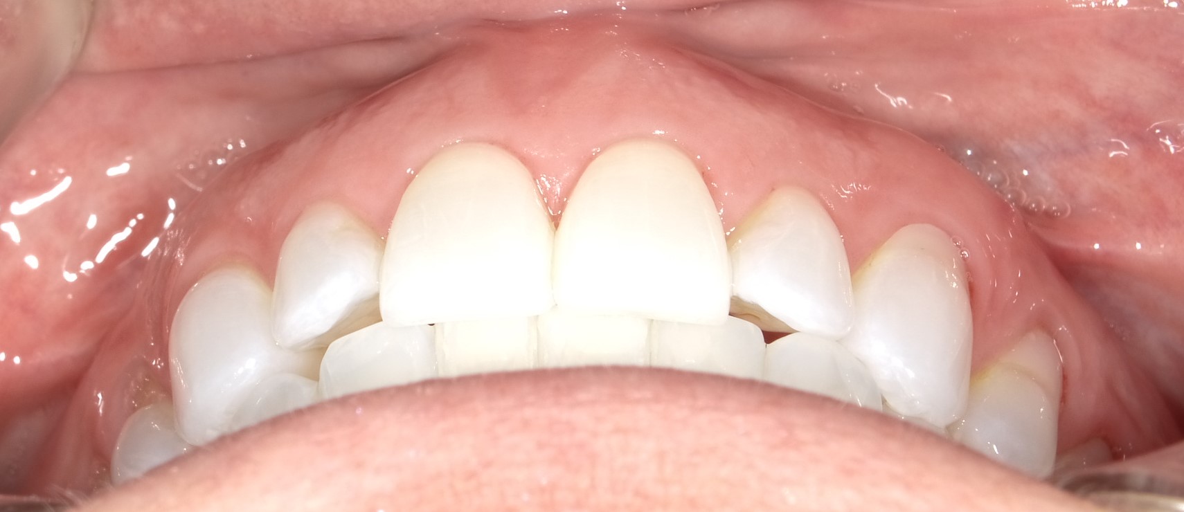
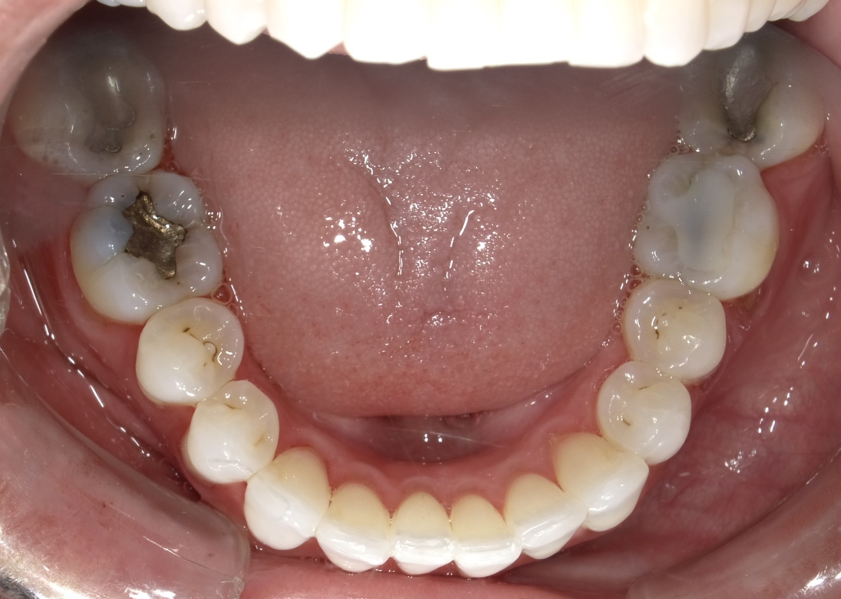
A 52-year-old female patient with history of lost retainers that she had used for a previous orthodontic treatment presented with minor orthodontic relapse during a hygiene visit. Her chief concern was that her lateral incisors were "starting to flare forward," as she had not been compliant with her retainers, and she expressed a desire for an affordable clear aligner solution. Clinically she presented with upper and lower anterior tooth crowding of less than 3 mm, specifically lower anterior teeth Nos. 23, 24, and 25, with a reverse curve of Spee of less than 2 mm on the lower anterior teeth (Figure 1 through Figure 3). The upper anterior arch presented with lateral incisor buccal rotations of less than 15 degrees on teeth Nos. 7 and 10 from an overjet view (Figure 4). The patient's oral hygiene was within normal limits, with stage one gingivitis, based on the new multidimensional staging and grading system of the American Academy of Periodontology and the European Federation of Periodontology that was adopted in 2017.12 The patient also presented with class I bite classification with gingival abfraction on both the anterior and posterior arches, with visibly missing class V restorations (Figure 5 and Figure 6).

To address her chief concern of orthodontic relapse, the patient was presented with a few different treatment options with a new set of upper and lower retainers, which would not shift the teeth back into better tooth position but would prevent further shifting. She was also given the option of an in-office aligner re-treatment with retention to follow, or a teledentistry treatment option offered by a partner network aligner company through the participating dental office. The patient decided to accept the teledentistry option provided by the partner network provider, as she travels for work often and wanted a more convenient treatment option, with less than 1 year of completion time, and also preferred a more affordable plan. Additional restorative treatment options with class V / gingival graft / occlusal guard were to be provided after her teeth had been stabilized.

 At the same office visit, the patient's records with photographs, digital scans (Figure 7 and Figure 8), and periodontal health evaluation were uploaded and submitted through the clear aligner partner company's portal for evaluation by the treating dentists and orthodontists. Subsequently, the patient continued to receive clear aligner treatment with periodic aligner check-in visits via teledentistry from the treating clinician and team member, using the network practice only for hygiene and in-office routine dental examinations.

Teledentistry has been found to be an effective tool to identify new orthodontic patient referrals and for ongoing clear aligner treatment progress.13 Overall, the patient currently reports that the treatment is progressing within the initial parameters that were set. She is happy with the teledentistry services and the clear aligner treatment, and is also glad to be able to receive routine dental care and scheduled appointments for hygiene and restorative treatments through the partner network office.

CONCLUSION

The growing popularity of clear aligner therapy, which has been bolstered by consumer marketing and increased brand awareness of major manufacturers of clear aligners, has set the stage for a unique opportunity for dental practitioners to grow their practice as well as potentially enhance patient experience and orthodontic outcomes. Using the hybrid model, participating dental practices may be involved in identifying new patients with simple-to-moderate malocclusions who are potential candidates for clear aligner therapy. Thus these partner network practices may be enabled to acquire and retain new patients who may need further dental hygiene services and dental procedures in the future, as well as to provide an added offering within the practice for their current patients. Ultimately, the hybrid model also offers an important opportunity to patients-namely, they are able to receive clear aligner therapy through the convenience of teledentistry, while individuals who may not have a primary care dentist and may not have otherwise sought dental care can be introduced to in-office dental practitioners, thus potentially improving their oral health outcomes beyond tooth alignment.

References

1. Kesling HD. The philosophy of the tooth positioning appliance. Am J Orthod Oral Surg. 1945;31(6):297-304.

2. Nahoum HI. The vacuum formed dental contour appliance. NY State Dent J. 1964;9:385-390.

3. Kuo E, Miller RJ. Automated custom-manufacturing technology in orthodontics. Am J Orthod Dentofacial Orthop.2003;123(5):578-581.

4. Hennessy J, Al-Awadhi EA. Clear aligners generations and orthodontic tooth movement. J Orthod. 2016;43(1):68-76.

5. Ke Y, Zhu Y, Zhu M. A comparison of treatment effectiveness between clear aligner and fixed appliance therapies. BMC Oral Health.2019;19(1):24.

6. Yassir YA, Nabbat SA, McIntyre GT, Bearn DR. Clinical effectiveness of clear aligner treatment compared to fixed appliance treatment: an overview of systematic reviews [published online ahead of print January 6, 2022]. Clin Oral Investig. doi: 10.1007/s00784-021-04361-1.

7. Kravitz ND, Bowman SJ. A paradigm shift in orthodontic marketing. Semin Orthod.2016;22(4):297-300.

8. Azaripour A, Weusmann J, Mahmoodi B, et al. Braces versus Invisalign®: gingival parameters and patients' satisfaction during treatment: a cross-sectional study. BMC Oral Health. 2015;15:69. doi: 10.1186/s12903-015-0060-4.

9. White DW, Julien KC, Jacob H, Campbell PM, Buschang PH. Discomfort associated with Invisalign and traditional brackets: a randomized, prospective trial. Angle Orthod. 2017;87(6):801-808.

10. Okuda BC, Tabbaa S, Edmonds M, Toubouti Y, Saltaji H. Direct to consumer orthodontics: exploring patient demographic trends and preferences. Am J Orthod Dentofacial Orthoped. 2021;159(2):
210-216.

11. Masson G. Why platinum dental services partnered with SmileDirectClub: Vince Dilley, founder & CEO. Becker's Dental + DSO Review website. https://www.beckersdental.com/featured-perspectives/36606-why-platinum-dental-services-partnered-with-smiledirectclub-vince-dilley-founder-ceo.html?utm_campaign=dental&utm_source=website&utm_content=most-read. Updated April 23, 2021. Accessed March 31, 2022.

12. Papapanou PN, Sanz M, Buduneli N, et al. Periodontitis: consensus report of workgroup 2 of the 2017 World Workshop on the Classification of Periodontal and Peri-Implant Diseases and Conditions. J Periodontol. 2018;89(suppl 1):S173-S182.

13. Park JH, Kim JH, Rogowski L, Al Shami S, Howell SEI. Implementation of teledentistry for orthodontic practices. J World Fed Orthod. 2021;10(1):9-13.

Table 1. Costs Associated With Aligner Cases (6- to 12-month treatment)

Table 1

Fig 1. Patient presented with upper and lower anterior tooth crowding
of less than 3 mm. Figure 1: Anterior view. Figure 2: Upper arch. Figure 3: Lower
arch.

Figure 1

Fig 2. Patient presented with upper and lower anterior tooth crowding
of less than 3 mm. Figure 1: Anterior view. Figure 2: Upper arch. Figure 3: Lower
arch.

Figure 2

Fig 3. Patient presented with upper and lower anterior tooth crowding
of less than 3 mm. Figure 1: Anterior view. Figure 2: Upper arch. Figure 3: Lower
arch.

Figure 3

Fig 4. Overjet view. The upper anterior arch exhibits lateral incisor buccal
rotations of less than 15 degrees on teeth Nos. 7 and 10.

Figure 4

Fig 5. Right side buccal view (Figure 5) and left side buccal view (Figure 6) demonstrating class I bite with gingival abfraction.

Figure 5

Fig 6. Right side buccal view (Figure 5) and left side buccal view (Figure 6) demonstrating class I bite with gingival abfraction.

Figure 6

Fig 7. Digital scan of upper anterior
teeth.

Figure 7

Fig 8. Digital scan of lower arch.

Figure 8

CREDITS: 0
AGD CODE: 370 - Orthodontics
COST: $0
PROVIDER: Conexiant Education
SOURCE: Compendium of Continuing Education in Dentistry | May 2022
COMMERCIAL SUPPORTER: SmileDirectClub

Learning Objectives:

  • Discuss the history of and recent developments in clear aligner therapy
  • Describe the concept of the hybrid clear aligner model
  • ​Discuss the clear aligner treatment process offered through the hybrid model, as shown in the case study

Disclosures:

Dr. Ataii is a clinical advisor and KOL for the National Academy of Dental Professionals & Staff Members for SmileDirectClub™, along with multiple aligner companies. Dr. Ataii is a paid consultant for SmileDirectClub™.

Queries for the author may be directed to justin.romano@broadcastmed.com.