Conservative, Functional, and Esthetic Rehabilitation of Severe Palatal Erosion (Class IV) Using Modified Dahl Approach

Aliasger Tunkiwala, MDS; and Rajeev Chitguppi, MDS

July 2021 RN - Expires Wednesday, July 31st, 2024

Compendium of Continuing Education in Dentistry

Abstract

This article demonstrates the clinical application of biomechanical and occlusal principles to conservatively provide optimal clinical outcomes in restoring an eroded anterior dentition. The authors manage a challenging case involving limited palatal clearance (ie, deep bite) coupled with palatal erosion and wear by combining the centric relation (CR) and Dahl principles to create anterior interocclusal space to reduce the need for more invasive palatal reduction. The combined use of adhesive restorations—resin composites on the palatal surface and indirect porcelain veneers on the facial/incisal surfaces—through enamel and dentin bonding helped optimize esthetic and functional/biomechanical aspects. This ultraconservative approach enabled the desired esthetic and biomechanical outcomes to be achieved through the treatment of localized anterior tooth erosion and wear. In short, when treating eroded maxillary anterior teeth with deep bite, adequate restorative space should first be created by conjoining CR and Dahl principles before using adhesive dentistry to restore with bonded composites and porcelain veneers.

You must be signed in to read the rest of this article.

Login Sign Up

Registration on CDEWorld is free. You may also login to CDEWorld with your DentalAegis.com account.

Noncarious cervical lesions (NCCLs) have a multifactorial etiology and result from complex interactions between corrosion (chemical degradation), stress (abfraction), and friction (toothbrush/dentifrice abrasion), all of which a restorative dentist must consider for achieving a correct diagnosis and developing a treatment plan.1,2 Erosion is a physical mechanism causing wear by friction from the movement of liquids. Tooth erosion, described as tooth surface loss (TSL), is produced by chemical or electrolytic processes of nonbacterial origin; acids are usually involved. More recently, the term erosion has been replaced by biocorrosion, which encompasses the chemical, biochemical, or electrochemical action that causes the molecular degradation of the essential properties in a living tissue.1,2

Adhesive technology has progressed considerably in recent decades and has shown that, along with excellent esthetics, it can also be used to reestablish crown stiffness while allowing maximum preservation of the residual hard-tissue structure in both anterior and posterior teeth. Adhesive technology offers two primary benefits3-5: (1) adhesive ceramic restorations can be used via an additive approach, ie, they do not require a significant amount of tooth reduction because the existing space provided by the missing tissues is utilized; and (2) conventional “resistance and retention form” principles can be omitted; instead the bonds between the porcelain and luting resin composite and between the luting resin composite and tooth are exploited.

Localized Palatal Wear/Erosion and Restorative Challenges

The palatal surfaces of anterior teeth present clinicians a threefold challenge in achieving optimal surface preparation and restoration6: (1) they offer limited stability and retention due to their concave geometry; (2) tensile stresses tend to concentrate on the concave surface; and (3) limited space is available with regard to their antagonistic dentition.

The authors suggest two treatment possibilities for managing cases on anterior palatal erosion.

Restorative Options

Three restorative options can be considered7-10:

1. Full-coverage crown preparations: The task of optimal preparation and restoration becomes even more daunting in cases of deep overbite and combined facial/palatal erosion, and, in such instances, clinicians may be inclined to attempt traditional full-coverage crown preparations. However, this approach has several disadvantages. First, such preparations sacrifice a significant amount of intact tooth structure in teeth that are already eroded and have lost the critical tooth substance needed for sufficient retention and resistance and have become short, thin, and flat. The clinician may be required to use even more invasive procedures such as intraradicular posts, thereby compromising pulp vitality and rendering the teeth nonvital. Second, this approach can lead to a higher rate of secondary caries, due to the restorative margins being on dentin that is exposed due to enamel erosion. Third, these preparations are potentially clinically less satisfactory than veneers because of the stiff metal-ceramic coping, which renders the underlying flexible tooth structure prone to fracture. Finally, there is the issue of gingival inflammation around full-coverage restorations with intracrevicular margins. Adhesive restoration margins and finish lines that can generally be left equigingival or supragingival are less likely to generate gingival inflammation compared to traditional full-crown coverage.

Hence, clinicians should mimimize the use of approaches that involve more invasive palatal reduction and consider other treatment modalities.

2. Orthodontic repositioning: Though a conservative option that can sometimes be ideal, time constraints and economic considerations may negate the use of orthodontic repositioning in many cases.

3. Enameloplasty: With the patient’s consent, performing enameloplasty on opposing teeth can provide additional space, but it may lead to hypersensitivity.

Occlusal Principles

In an effort to develop a simple, highly conservative approach to localized anterior erosion and wear, various authors have described two occlusal principles: centric relation (CR) and the Dahl principle. A combined approach accounts for a third principle.

1. Centric relation: Lucia11 first proposed the use of an acrylic jig for CR recording. The same technique was later refined to retain the space needed to allow for the placement of restorations. Cardoso et al12 proposed the use of a modified Lucia jig—an anterior deprogrammer to reposition the mandible in CR to first create some space, and then use that space to enable direct composite restorations. Because of the resilience of resin material and their ease of manipulation even in limited thicknesses, direct composites can be employed as anterior deprogrammers themselves, and, for the same reasons, can be regarded as an ideal material for palatal surface restorations.

2. Dahl principle13-16: Dahl proposed the use of an anterior bite plane in the treatment of localized anterior tooth wear. With this approach, a cast-metal appliance is used for approximately 4 to 6 months to create space by separating the posterior teeth. Posterior teeth are allowed to undergo passive eruption, and the anterior teeth experience intrusion. This combination approach reestablishes the posterior occlusion while maintaining anterior space. Now, with the availability of adhesive dentistry, direct resin composites can be used as provisional restorations and achieve the same objectives.

3. Combined clinical approach10: In severe generalized TSL, due to erosion involving anterior and posterior teeth, it may be prudent to restore the lost vertical dimension by opening the bite through the restoration of posterior teeth (ie, additive approach). This, combined with harmonizing the maximum intercuspation (MIP) with CR, provides the crucial few millimeters needed to restore lost form without aggressive tooth preparation.

A greater challenge, however, presents in cases of localized TSL on the palatal surfaces of the upper anterior teeth with little or no TSL on the posterior teeth. The use of palatal veneers utilizing a modified Dahl principle is a conservative option and is advocated in such cases whenever possible. Documented cases of successful management of these situations17 have employed a simple, additive approach using direct resin for management of localized palatal wear along with a modified Dahl principle, which allows patients to retain their residual anterior tooth structure.

A classification for damaged maxillary anterior teeth and guidelines for their clinical management has been published18 (Table 1). The following case report discusses a comprehensive and holistic approach to restoration of maxillary anterior teeth with palatal erosion.

Case Analysis and Treatment Sequence

A combined approach of the clinical application of CR and the Dahl principle is described as follows:

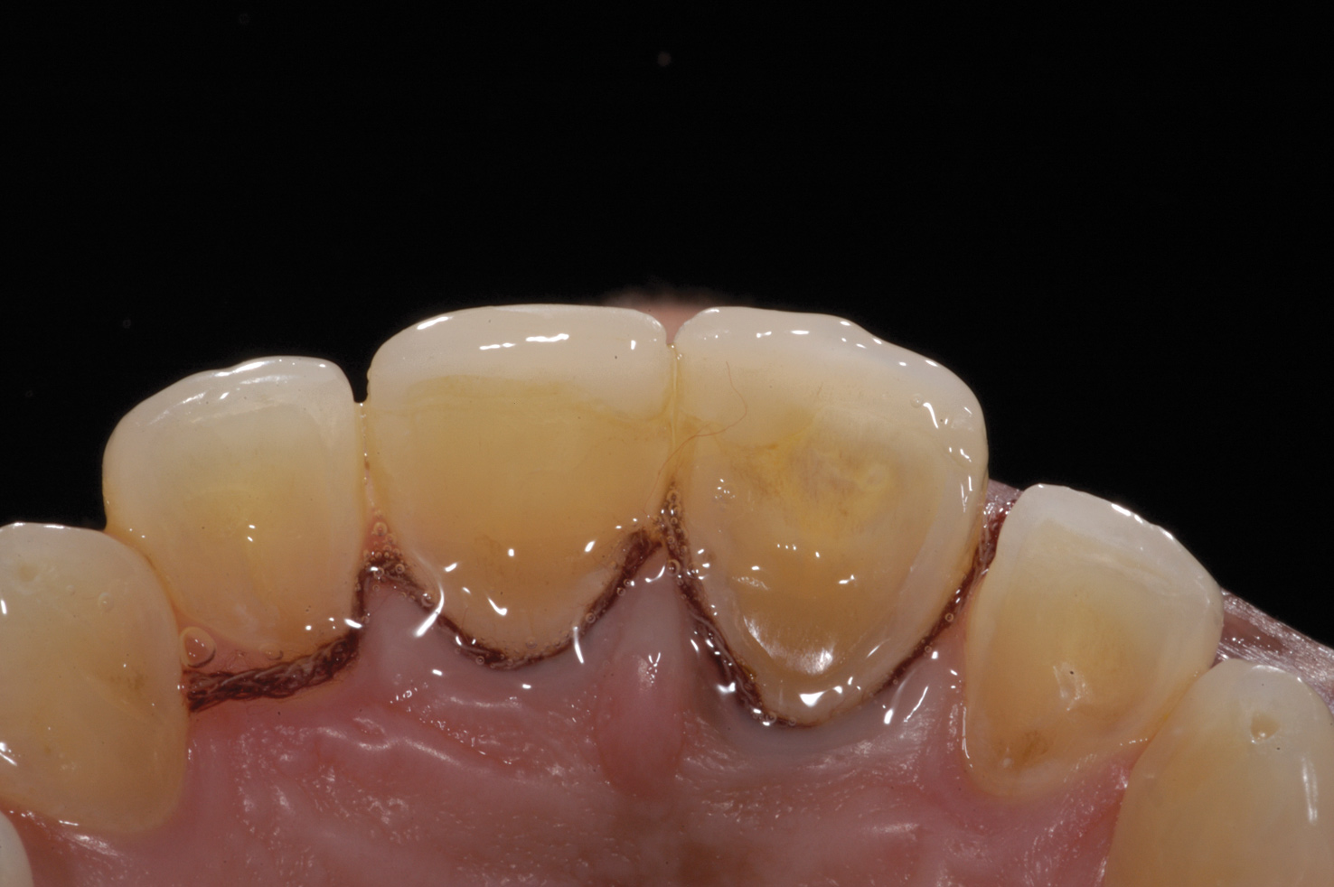
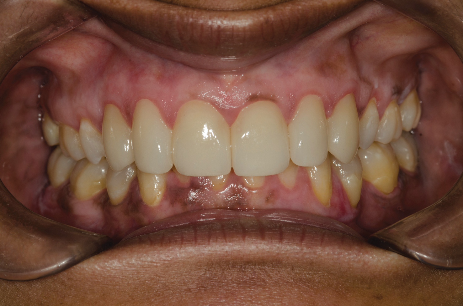
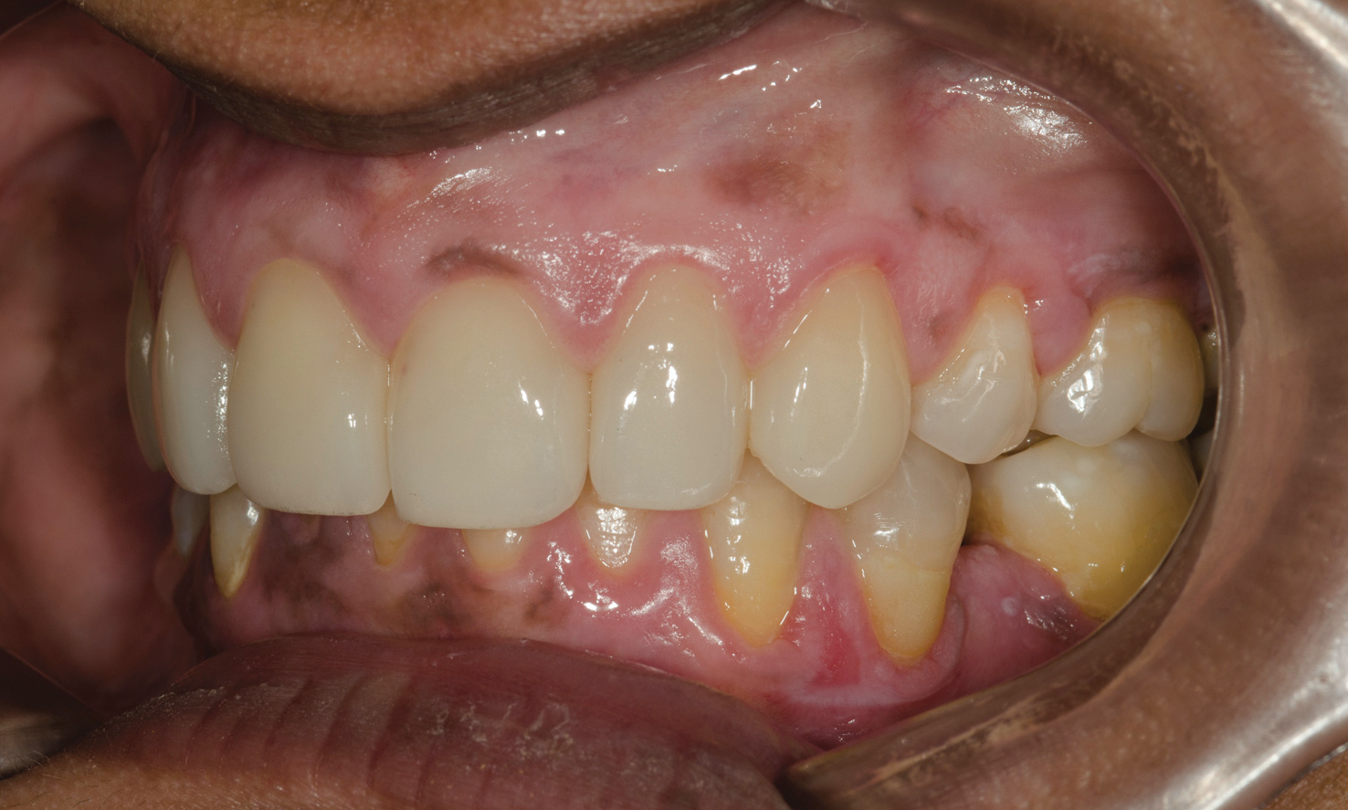
A 40-year-old female patient complained of short teeth and asked for various options to improve her smile. On clinical examination, the palatal surfaces of the maxillary anterior teeth were found to be eroded, with the residual tooth structure having a smooth and shiny appearance (Figure 1 through Figure 3). In MIP, no restorative space was available, as the lower anterior teeth fit tightly into the upper palatal surfaces, making this a clinically challenging situation to treat conservatively. In most cases of conventional treatment protocols, such upper teeth are devitalized and restored with crowns that structurally leave the teeth in a compromised condition.10

A difference between MIP and CR was identified through a gentle maneuver using a Lucia jig that guided the mandible into CR (Figure 4). The upper cast was then mounted on a semi-adjustable articulator with a facebow record and the lower cast with a centric record. Articulator mounting showed that when the condyles were in CR, the teeth did not occlude in MIP. On opening the centric lock on the articulator and allowing the teeth to touch in MIP, the authors found a lack of space available to restore the palatal surfaces of the maxillary anteriors. Thus, a decision was made to keep the condylar rods in CR on the articulator, which would create some space in the anterior zone to restore the palatal surfaces of the maxillary anteriors.

This space, acquired by recording the CR correctly, was utilized to prepare the palatal surface wax-up (Figure 5). This, in turn, opened up the posterior contacts by 1 mm. This new maxilla-mandibular relation was created intraorally and stabilized by restoring the palatal surfaces of the maxillary anteriors with palatal composite resin veneers (Figure 6 and Figure 7). The principles used here demonstrate the Dahl technique that was modified from its original version to suit the esthetic requirements of the patient and to make use of adhesive techniques with contemporary restorative resins.

The open contacts and interocclusal space created between the posterior teeth (Figure 8) resulted in supraeruption of the posteriors in approximately 4 months’ time. After supraeruption was complete, occlusal equilibration was performed to harmonize the occlusion and attain bilaterally uniform and simultaneous contacts between all posterior teeth. A labial esthetic wax-up was then fabricated for the upper anterior teeth to produce an esthetic enhancement in the smile.

A provisional was fabricated intraorally using a matrix fabricated on the wax-up (Figure 9). Once the patient approved the proposed changes in the anterior tooth form, minimalistic tooth preparations for monolithic lithium-disilicate veneers were performed (Figure 10), bearing in mind the need to keep within the facial enamel.

Monolithic lithium-disilicate pressed veneers were fabricated for the maxillary six most anterior teeth. Staining was done to achieve polychromy and subtle incisal translucency. While layering the incisal characteristics will produce a superior esthetic result, in this case it would have required reducing the incisal edges to create room for the ceramic. To prevent loss of precious tooth structure in a patient with minimal esthetic needs, the authors opted for an acceptable esthetic result of a stained veneer and, thereby, made a biologically sound restoration completely in enamel.

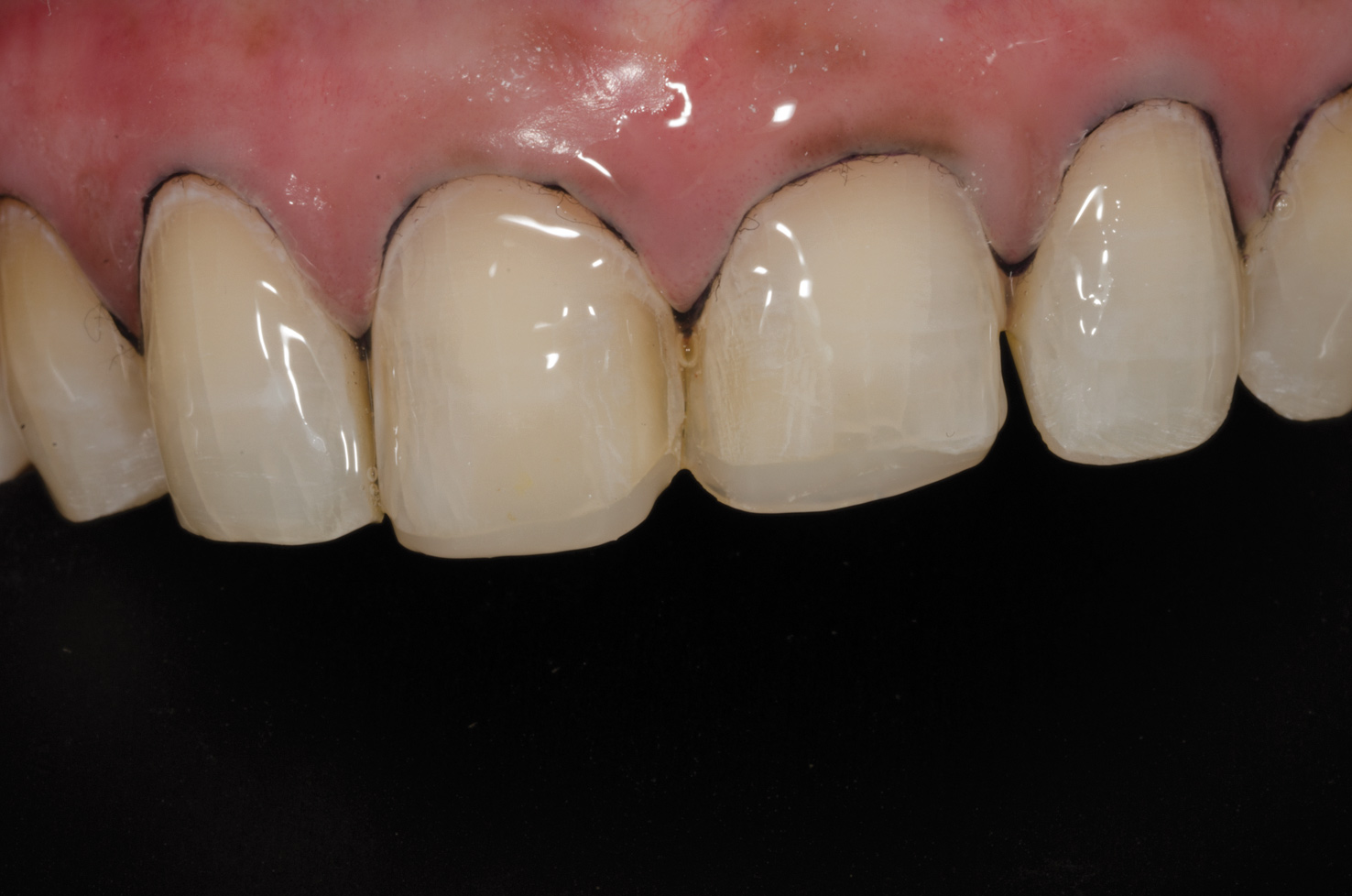
A few weeks later, the facial veneers were bonded directly to the underlying enamel. A postoperative photograph (Figure 11) revealed the restored harmony of the patient’s smile and the occlusal contacts in MIP (Figure 12). The palatal surfaces restored with nanofilled composite resin developed good anterior guidance that was harmonized to the patient’s chewing cycle (Figure 13 and Figure 14).19

Discussion

Prior to the emergence of adhesive technology, the clinical management of tooth erosion or biocorrosion1,2 focused primarily on biomechanical aspects alone, whereby the top priority was to achieve tooth reinforcement by extracoronal strengthening through some form of coverage (full or partial).1-9 With the development of adhesive technology, an additive approach was introduced that utilizes the existing space provided by missing tissues, preserves the residual tooth structure, and exploits the bond strength of luting resin composite that bonds the porcelain to the existing tooth structure.3-5

The unique challenges that palatal surfaces of anterior teeth typically present—ie, concave geometry, limited stability and retention, tensile stress concentration, limited space for the opposing dentition—become even more daunting in cases of deep overbite and combined facial/palatal erosion.6 Conventional full-coverage crown preparations in such cases result in further sacrifice of significant amounts of tooth structure in already damaged teeth and present other risks such as rendering the teeth nonvital and a higher rate for secondary caries.7-10

As described earlier, two occlusal principles—centric relation (CR) and the Dahl principle—were developed as simple, highly conservative approaches to localized anterior erosion and wear. With CR, an anterior deprogrammer is used11,12 to reposition the mandible in CR to create space that enables the room for direct composite restorations. Resilient and easy to manipulate, direct composites can be used as anterior deprogrammers themselves and for palatal surface restorations. The Dahl principle13-16 employs the use of an anterior bite plane in the treatment of localized anterior tooth wear, whereby a cast-metal appliance is used to create space by separating the posterior teeth, which are then able to undergo passive eruption while the anterior teeth experience intrusion. This reestablishes posterior occlusion while maintaining anterior space.

Adhesive dentistry can be used to achieve the same objectives, employing direct resin composites as provisional restorations through an additive approach. In cases of severe generalized TSL caused by erosion involving both anterior and posterior teeth, restoring the lost vertical dimension by opening the bite through the restoration of posterior teeth (ie, additive approach) may be optimal. Combined with harmonizing the MIP with CR, this strategy allows lost form to be restored without aggressive tooth preparation.10

However, the greatest challenge presents in cases of localized TSL on the palatal surfaces of only the upper anteriors, with little, if any, TSL on posteriors. The option of palatal veneers using a modified Dahl principle is conservative and encouraged in such cases whenever possible.10,17

This article presented a comparable case in which the Dahl technique was modified to suit the esthetic requirements of the patient. First, a new maxilla-mandibular relation was created intraorally, which was stabilized in the second step by restoring the palatal surfaces of maxillary anteriors with palatal composite resin veneers. The interocclusal space generated between the posteriors resulted in posterior supraeruption, which generated a new occlusion that was harmonized by occlusal equilibration. Monolithic lithium-disilicate veneers were placed on the maxillary anteriors to enhance the final smile.

Composite restoration wear was once a significant worry; that concern, though, has substantially subsided in recent years due to improved technology, which has led to enhanced formulations and significantly better products.10 For patients with no parafunctional habits, posterior composite resin wear is now considered a resolvable problem. Individuals with parafunctional habits, however, warrant careful monitoring and supplemental protection with nightguards to reduce wear-related failures.10 In addition, palatal surface composites may wear off in the medium to long term.10 However, even cases of significant palatal restoration wear can be easily managed using a conservative repair of the resin composite.

Conclusion

When warranted, use of noninvasive additive approaches should be considered before opting for traditional full-crown coverage. In eroded maxillary anterior teeth with limited palatal clearance (ie, deep bite), clinicians should first create adequate restorative space through a combined use of CR and the Dahl principle before utilizing adhesive dentistry to restore with bonded composites and porcelain veneers.

Acknowledgment

The authors wish to acknowledge the artistic contribution of ceramic work by Danesh Vazifdar at Adaro Dental Laboratory in Mumbai, India.

About the Authors

Aliasger Tunkiwala, MDS
Prosthetic Dentistry
University of Mumbai
Mumbai, India
Clinical Practice
Mumbai, India
Director
Impart Education
Mumbai, India

Rajeev Chitguppi, MDS
Periodontics
University of Mumbai
Mumbai, India
Consulting Periodontist
Mumbai, India
Director
Perioindia, Mumbai, India

Queries to the authors regarding this course may be submitted to authorqueries@aegiscomm.com.

References

1. Grippo JO, Simring M, Schreiner S. Attrition, abrasion, corrosion and abfraction revisited: a new perspective on tooth surface lesions. J Am Dent Assoc. 2004;135(8):1109-1118.

2. Grippo JO, Simring M, Coleman TA. Abfraction, abrasion, biocorrosion, and the enigma of noncarious cervical lesions: a 20-year perspective. J Esthet Restor Dent. 2012;24(1):10-23.

3. Magne P, Douglas WH. Additive contour of porcelain veneers: a key element in enamel preservation, adhesion, and esthetics for aging dentition. J Adhes Dent. 1999;1(1):81-91.

4. Magne P, Belser UC. Novel porcelain laminate preparation approach driven by a diagnostic mock-up. J Esthet Restor Dent. 2004;16(1):7-16.

5. Magne P, Magne M. Use of additive waxup and direct intraoral mock-up for enamel preservation with porcelain laminate veneers. Eur J Esthet Dent. 2006;1(1):10-19.

6. Magne P, Versluis A, Douglas WH. Rationalization of incisor shape: experimental-numerical analysis. J Prosthet Dent. 1999;81(3):345-355.

7. Edelhoff D, Sorensen JA. Tooth structure removal associated with various preparation designs for anterior teeth. J Prosthet Dent. 2002;87(5):503-509.

8. Edelhoff D, Sorensen JA. Tooth structure removal associated with various preparation designs for posterior teeth. Int J Periodontics Restorative Dent. 2002;22(3):241-249.

9. Pippin DJ, Mixson JM, Soldan-Els AP. Clinical evaluation of restored maxillary incisors: veneers vs PFM crowns. J Am Dent Assoc. 1995;126(11):1523-1529.

10. Magne P, Magne M, Belser UC. Adhesive restorations, centric relation, and the Dahl principle: minimally invasive approaches to localized anterior tooth erosion. Eur J Esthet Dent. 2007;2(3):260-273.

11. Lucia VO. A technique for recording centric relation. J Prosthet Dent. 1964;14(3):492-505

12. Cardoso AC, Canabarro S, Myers SL. Dental erosion: diagnostic-based noninvasive treatment. Pract Periodontics Aesthet Dent. 2000;12(2):223-228.

13. Dahl BL, Krogstad O, Karlsen K. An alternative treatment in cases with advance localized attrition. J Oral Rehab. 1975;2(3):209-214.

14. Dahl BL, Krogstad O. The effect of a partial bite raising splint on the occlusal face height. An x-ray cephalometric study in human adults. Acta Odontol Scand. 1982;40(1):17-24.

15. Mizrahi B. The Dahl principle: creating space and improving the biomechanical prognosis of anterior crowns. Quintessence Int. 2006;37(4):245-251.

16. Mizrahi B. A technique for simple treatment of anterior toothwear. Dent Update. 2004;31(2):109-114.

17. Tunkiwala A. Minimalistic approach to GERD-related tooth surface loss. Inside Dentistry. 2013;9(1):56-68.

18. Vailati F, Belser UC. Classification and treatment of the anterior maxillary dentition affected by dental erosion: the ACE classification. Int J Periodontics Restorative Dent. 2010;30(6):559-571.

19. Bakeman EM, Kois JC. The myth of anterior guidance: 10 steps in designing proper clearance for functional pathways. Journal of Cosmetic Dentistry. 2012;28(3):56-62.

Table 1

Table 1

Fig 1. Preoperative frontal smile view.

Figure 1

Fig 2. Preoperative frontal retracted 1:2 view.

Figure 2

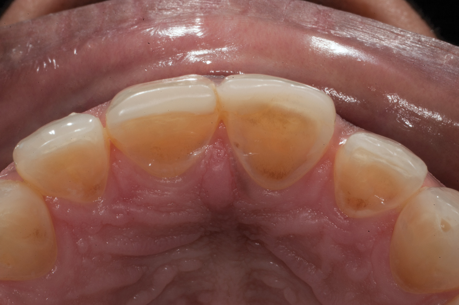
Fig 3. Preoperative view showing erosion of palatal surfaces of upper anteriors.

Figure 3

Fig 4. Centric wax record with Lucia jig.

Figure 4

Fig 5. Wax-up for restoration of palatal erosion.

Figure 5

Fig 6. Palatal surfaces etched and ready to receive composite resin.

Figure 6

Fig 7. Resin build-up accomplished for palatal surfaces to restore lost form.

Figure 7

Fig 8. Posterior teeth out of occlusion due to palatal build-up.

Figure 8

Fig 9. Smile view with provisional facial veneers.

Figure 9

Fig 10. Final minimal facial preparations with tissue management.

Figure 10

Fig 11. Postoperative frontal smile view.

Figure 11

Fig 12. Postoperative view showing posterior teeth in MIP.

Figure 12

Fig 13. Postoperative frontal retracted 1:2 view.

Figure 13

Fig 14. Postoperative view showing additively restored palatal surfaces of upper anteriors.

Figure 14

CREDITS: 0
AGD CODE: 250 - Restorative Dentistry
COST: $0
PROVIDER: Conexiant Education
SOURCE: Compendium of Continuing Education in Dentistry | July 2021

Learning Objectives:

  • Analyze the risk factors involved in a case of severe palatal erosion
  • Discuss the role of the Dahl technique and its modification in managing maxillary anterior teeth with severe palatal erosion
  • Assess the various options available in adhesive dentistry for managing cases of severe palatal erosion with and without posterior tooth structure loss

Disclosures:

The author reports no conflicts of interest associated with this work.

Queries for the author may be directed to justin.romano@broadcastmed.com.