The Current State of Adhesive Dentistry: A Guide for Clinical Practice

Francis K. Mante, DMD, PhD; Fusun Ozer, DDS, PhD; Ricardo Walter, DDS, MSc; Alan M. Atlas, DMD; Najeed Saleh, DMD; Didier Dietschi, DMD, PhD; and Markus B. Blatz, DMD, PhD

November 2019 RN - Expires Wednesday, November 30th, 2022

Compendium of Continuing Education in Dentistry (Suppl)

Abstract

Adhesive dentistry is key to minimally invasive, esthetic, and tooth-preserving dental restorations. These are typically realized by bonding various restorative materials, such as composite resins, ceramics, or even metal alloys, to tooth structures or other materials with composite resin luting agents. For optimal bond strengths and long-lasting clinical success, however, these material and tooth substrates require their respective pretreatment steps, based on their natures and compositions. Today, dental adhesion is used in almost all dental specialties. This article summarizes key aspects and guidelines for clinical success with adhesive dentistry and summarizes information presented at the 5th International Congress on Adhesive Dentistry.

You must be signed in to read the rest of this article.

Login Sign Up

Registration on CDEWorld is free. You may also login to CDEWorld with your DentalAegis.com account.

Introduced to restorative dentistry in the mid 1950s,1 adhesion to tooth structures and particularly dentin has evolved significantly in recent decades. Yet, the complexity of the dentin substrate continues to challenge researchers in the development of the ideal dental adhesive system. One significant milestone was the introduction of the total-etch technique in the late 1970s.2 Despite initial concerns about potential damage of pulpal tissues by phosphoric acid, this technique is still used today.

Current adhesive systems are divided into two main categories: etch-and-rinse (total-etch) and self-etch (etch-and-dry). Etch-and-rinse systems comprise two or three steps and typically involve the use of phosphoric acid pretreatment of the dentin with subsequent infiltration of the demineralized collagen to form a hybrid layer.3 Self-etch systems are one- or two-step solutions of different pH levels that interact with the tooth structures via functional monomers.4 Nakabayashi et al5 introduced the hybrid layer concept in 1982: its formation and quality is key in the establishment of proper adhesion.

Both concepts have advantages and disadvantages in different clinical situations. Phosphoric acid with etch-and-rinse adhesives not only removes the layer of debris from tooth preparation (smear layer) but also opens the dentinal tubules and exposes the underlying collagen mesh. Exposed dentinal tubules are sealed by the adhesive resin. However, neither acetone nor ethanol—vehicles in etch-and-rinse adhesive systems—provide complete infiltration of the demineralized dentin. The exposed collagen fibrils may consequently suffer hydrolytic degradation by matrix metalloproteinase (MMPs), which has been the recent focus of extensive research.6 Application of chlorhexidine, benzalkonium chloride, or the antibacterial monomer methacryloyloxydodecylpyridinium bromide to prevent such degradation has not proven effective in the long term. Meanwhile, self-etch adhesives seem not to be affected by MMPs to the same extent, which may be due to the fact that collagen is exposed to a lesser depth and is better infiltrated by the adhesive system. Self-etch adhesives, particularly two-step systems, have shown excellent bonding performance to dentin through implementation of functional monomers such as 10-methacryloyloxydecyl dihydrogen phosphate (MDP), which provides some chemical adhesion to hydroxyapatite. Without the use of phosphoric acid, however, the bond—especially to uncut enamel—may be compromised.7 Therefore, self-etch adhesives are recommended particularly for cavities predominantly in dentin, while etch-and-rinse systems are preferred for indirect restorations and cavities that are mostly in enamel.7

The performance of bonding agents in the laboratory and even in controlled clinical trials may not necessarily translate to the clinical situation in the dental office. One influencing factor is operator experience and familiarity with a specific adhesive system.8,9 Recent multimode (universal) adhesive systems may help minimize this problem as they can be used in both etch-and-rinse and self-etch modes. This feature can simplify the process and familiarize clinicians with new bonding systems.

Another key factor for the successful implementation of adhesive dentistry in clinical practice is the understanding that any type of bonding surface contamination from saliva, blood, sulcus, or other fluids significantly affects resin bonds in a negative way.10 Isolation of the operating field through use of a rubber dam or similar means is, therefore, a necessity.

It is fair to say that the search for the “ideal” dental adhesive system is ongoing. Based on the current literature, an adhesive should: 1) minimize phosphoric acid pretreatment of dentin and only require selective etching of enamel; 2) be a mild self-etch with a universal adhesive monomer such as MDP; 3) be solvent free; and 4) have antibacterial properties.

Composite Resins for Direct Restorations

Composite restorative materials have been steadily evolving since R.L. Bowen introduced them in the last century.11 Their applications include anterior and posterior restorations both direct and indirect, and luting agents for all types of indirect restorative materials.

Patient demand for tooth-colored esthetic and minimally invasive restorations, as well as environmental concerns about mercury, are slowly reducing the use of amalgam for direct posterior restorations and replacing amalgam with composite resin.

However, questions remain about the clinical long-term performance of direct composite-resin restorations; clinical trials to evaluate novel dental composites are expensive and arduous to complete.11 Underperforming composite materials, patient noncompliance, and operator error are main reasons for failure, leading to secondary caries, fracture, marginal deficiencies, wear, and postoperative sensitivity.12

For anterior composite restorations, loss of retention is no longer a main reason for failure, provided dependable adhesive systems are used correctly.13 Instead, marginal deterioration and discoloration have become primary reasons for replacement. They are mainly caused by improper adhesive technique, subgingival placement on root dentin or cementum, overfinishing of the restoration, incorrect material selection, and inadequate oral hygiene.

Posterior composite restorations are subject to greater failure due to masticatory forces, difficulty of placement, and secondary caries, especially in the long term.14 Caries risk plays a significant role in restoration survival. A 12-year prospective study concluded that large four- to five-surface composite restorations have better survival than amalgam restorations of the same size in patients with low risk for caries.14 Patients at high risk for caries and bruxism have significantly higher failure rates in shorter periods than patients with low risk.15 The effect of oral hygiene and nutrition has not been sufficiently studied but may also play a significant role in restoration survival.

Current trends suggest simplification of the placement technique with low-shrinkage-stress bulk-fill composite resins.16,17 These new materials have varying properties and are often applied as flowable base materials veneered with more viscous hybrid composite resins or inserted in 4-mm to 5-mm thick increments and cured in one step to eliminate time-consuming layering techniques. To date, scant evidence is available to validate material placement in one layer. The recommended placement technique continues to be small increments to allow for flow of the composite material away from free space and toward a bonded substrate.18 This technique ensures an optimal conversion rate upon photopolymerization and a restoration with superior physical properties.

An advanced system for evaluating the clinical performance of contemporary composite materials and bonding interfaces applies noninvasive, nondestructive, high-resolution cross-sectional light-wave imaging technology called swept-source optical coherence tomography (SS-OCT).19,20 With this technology, Nazari et al21 demonstrated superior cavity adaptation of a new stress-decreasing composite resin placed up to 3 mm in depth compared with conventional flowable composite.

Rapid developments in resin composite technologies and formulations have made direct composite restorations highly predictable, as long as materials and application techniques are properly selected and applied.

The Adhesive Resin Bond to Dental Materials

Composites

Adhesion between two composite resin layers is achieved in the presence of an oxygen-inhibited layer of the unpolymerized resin. Successful bonding depends on establishing a surface with a high number of unreacted vinyl groups (C=C) that can then be cross-polymerized to the resin in the bonding composite.22 Because already polymerized composites contain fewer free radicals on their surfaces, several methods have been suggested to improve the composite–composite adhesion. Surface roughening with airborne particle abrasion, etchants such as acidulated phosphate fluoride, hydrofluoric acid, or phosphoric acid with the use of intermediate adhesive resins (IARs) either in a silane and/or an adhesive system have been recommended. The preferred method is a combination of air abrasion, application of a silane coupling agent and an IAR.23

Ceramics

The popularity of all-ceramic restorations has increased significantly in recent years due to better esthetics and durability. The two major categories of all-ceramic materials are: silica-based (ie, feldspathic, leucite-reinforced, and lithium disilicates) and non-silica–based (ie, zirconia or yttria stabilized zirconia, alumina) high-strength ceramics. The clinical success of either resin-bonded or repaired ceramic restorations depends on the quality and durability of the bond between the composite resin and ceramic. This bond typically depends on the surface topography of the substrate, surface energy, and chemical interaction with the resin.24

Silica-Based Ceramics

Hydrofluoric acid (HF) etching followed by application of a silane coupling agent is recommended for use with glassy matrix ceramics.24,25 HF selectively dissolves the glass or weak crystalline components of the ceramic and produces a porous, irregular surface of increased wettability. Application of a silane coupling agent on the etched ceramic surface increases the chemical adhesion between the ceramic and resin materials by coupling the silica (silicon oxides) in glassy matrix ceramics to the organic matrix of resin materials by means of siloxane bonds.

Silica-based ceramics are brittle. Therefore, blunt surface-roughening methods such as air-particle abrasion or grinding, which cause microcracks and may ultimately lead to fractures, should be avoided.

A clinical example of a resin-bonded silica-based ceramic (porcelain laminate veneers) restoration is depicted in Figure 1 and Figure 2.

High-Strength Ceramics

Alumina- (Al2O3) and zirconia-based (ZrO2) ceramics are typically used for copings and frameworks that are veneered with feldspathic porcelains or composites, full-ceramic restorations, or implant components due to their excellent mechanical properties.24,26 The high strength allows for cementation with conventional cements. If adhesive bonding is selected for final insertion, however, some unique properties have to be considered. The bio-inert high-crystalline and low-glass structure makes high-strength ceramics corrosion- and acid-resistant, rendering adhesion protocols applied for silica-based ceramics ineffective.26 The preferred surface treatment method is air-particle abrasion with aluminum oxide, which removes loose contaminated layers, and the roughened surface provides some degree of mechanical interlocking with the adhesive material. Application of a special ceramic primer containing an acidic adhesive monomer such as MDP provides superior bond strengths to air-abraded high-strength ceramic surfaces.26 Alternatively, silica coating followed by silanization or chemical activation seems similarly successful.24,25

The selective infiltration-etching technique by heat treatment has been recently proposed to improve zirconia bonding. The surface is coated with a glass-containing conditioning agent (composed of silica, alumina, sodium oxide potassium oxide, and titanium oxide) and heated above its glass-transition temperature. After cooling, the glass is dissolved in an acidic bath, creating a porous surface and achieving promising bond strengths.27

Metal-Free Endodontic Posts

The primary purpose of a post is to retain the coronal restoration in an endodontically treated tooth with extensive loss of coronal structures. Prefabricated fiber-reinforced polymer (FRP) posts have become very popular because of satisfactory clinical results as well as reduction in treatment time and cost.28,29 They are usually luted with resin cements to increase retention and mechanical performance of the restored teeth while reducing the risk of root fracture.

The FRP posts are made of carbon or silica fibers surrounded by a matrix of polymer resin, usually epoxy resin. Because fiber posts are passively retained in the root canal, the effectiveness of the adhesive cement and luting procedure plays an important role. Ideally, the intracoronal dentin is treated with etch-and-rinse adhesives and ethylenediaminetetraacetic acid (EDTA).30

The organic component of fiber posts, generally epoxy resin, has a high degree of conversion and crosslinks. This polymer matrix is virtually unable to react with the monomers of resin cements.31 A silane coupling agent is typically applied to the post surface to enhance adhesion.

The recently developed resin-based self-adhesive cements eliminate the multiple and technique-sensitive tooth- and material-pretreatment steps. They have also become popular for cementation of fiber posts.32 Self-adhesive resin cements contain multifunctional hydrophilic monomers with phosphoric acid groups, which can react with hydroxyapatite and also infiltrate and modify the smear layer. They can offer bond strengths comparable to etch-and-rinse systems.

Metal Alloys

The development of techniques for adhesion of composite resins to metallic substructures has greatly expanded restorative treatment options. Early techniques relied solely on mechanical retention of composite resin to the metallic substrate through retentive perforations or meshes.33 Macro-mechanical retention techniques yielded unreliable bond strengths, gap formation, and microleakage at the bonding interfaces.34 Micromechanical retention techniques began with pretreatment of metal-bonding surfaces with air-particle abrasion,34 which became increasingly successful when combined with resin cements containing special adhesive monomers (MDP) to also provide true chemical bonds.35

Other efforts to improve metal-composite bonds have included various etching techniques36 and acidic adhesive monomers37 that chemically bond to oxides on base-metal alloys. The nonreactive surface of noble metal alloys presented a special challenge, which led to the development of electrochemical plating of tin, oxidation, and acid pickling.

Treating metal alloy surfaces with silica intermediates and silane coupling agents began in 1984.38 Silica was introduced onto the metal surface from application of silicon dioxide (SiO2) in a flame. Other systems embed silica-coated aluminum particles into the metal surface through air-particle abrasion.39,40 The silica coat is then treated with silane, which acts as a coupling agent between the metal surface and resin. These techniques have proven successful to both base and noble metal alloys.

Current development of adhesion to noble dental alloys has focused on the use of functional monomers, especially those containing sulfur.41 Multifunctional adhesives for both noble and base metal alloys typically contain monomers with functional groups, such as sulfur, amino, and carboxyl, and have demonstrated high and durable bond strengths.42

Indirect Adhesive Restorations in Posterior Teeth

Bonded indirect tooth-colored restorations for posterior teeth are excellent examples of the significant developments and improvements that have been made in adhesive dentistry, as they combine distinct clinical protocols with modern adhesive technologies to tooth structures and indirect dental materials. The most common clinical problems with bonded indirect posterior restorations include hard tissue conservation (cavity design might lead to significant loss of sound tissue), impression taking, and adhesive cementation (deep proximal preparations are a challenge and make working field isolation more difficult), as well as provisional restorations. Conventional acrylic provisionals are time consuming and the cement contaminates the interface, while simplified “soft” light-curing provisionals are lost easily and trigger sensitivity due to leakage. An original treatment protocol to overcome these problems was introduced by Dietschi and Spreafico43 in 1998 and includes four main concepts, which are illustrated in Figure 3, Figure 4, Figure 5, Figure 6, Figure 7, Figure 8, Figure 9 through Figure 10.

The first concept, dual bonding, relates to the substrate treatment.44,45 It was later referred to as immediate dentin sealing, which is to seal the dentin with a dentin bonding agent after the cavity is isolated with a rubber dam.46 This prevents further tissue dehydration and contamination, and protects the tooth against sensitivity while improving bond strength and stability of the adhesive interface.47

Cavity design optimization (CDO)43 limits removal of sound tooth structure during preparation by applying a flowable composite liner to fill all undercuts and create an ideal cavity geometry. The third concept, cervical margin relocation (CMR),43,47 is applied for deep proximal preparations (intrasulcular), which complicate impression taking and cavity isolation during cementation. After placing a matrix, a first layer of flowable or restorative composite is applied to reposition the margin more coronally (Figure 6 and Figure 7). A highly filled flowable composite or low-shrinkage flowable base is recommended. Cementation is performed with a light-cure composite rather than a dual-cure composite for optimal working time and control. Controlled adhesive cementation (CAC) has major advantages in complex cavity designs. Combined with the CMR technique, visual margin examination and proper cement removal are simplified. A highly filled fine/microhybrid composite is recommended for cementation, and its viscosity is reduced during restoration placement with a special ultrasonic or sonic cementation tip. Various studies have verified adequate light transmission and conversion rates for light-cure composites underneath ceramic inlays/onlays with proper curing lights and exposure times.48-50 The reduced restoration thickness (CDO concept) supports proper light transmission.

These clinical concepts address the most frequent difficulties with indirect adhesive restorations in the posterior, leading to more predictable and improved treatment outcomes.51-54

Summary

Today, offering patients minimally invasive dentistry is not just another treatment option, it is an ethical obligation. Adhesive dentistry facilitates minimally invasive, esthetic, and tooth-preserving dental treatment and applies to almost all dental materials and specialties. The various tooth structures and dental materials, however, require specific bonding protocols for long-term clinical success, as discussed in this article. Adhesive techniques, technologies, and clinical concepts are constantly being updated and improved, shaping the future of the dental profession.

About the Authors

Francis K. Mante, DMD, PhD
Associate Professor, Division of Restorative Dentistry, Director of Biomaterials, University of Pennsylvania School of Dental Medicine, Philadelphia, Pennsylvania

Fusun Ozer, DDS, PhD
Instructor, Department of Preventive and Restorative Sciences, University of Pennsylvania School of Dental Medicine, Philadelphia, Pennsylvania

Ricardo Walter, DDS, MSc
Assistant Professor of Restorative Dentistry, Department of Preventive and Restorative Sciences, University of Pennsylvania School of Dental Medicine, Philadelphia, Pennsylvania

Alan M. Atlas, DMD
Clinical Professor, Department of Preventive and Restorative Sciences, University of Pennsylvania School of Dental Medicine, Philadelphia, Pennsylvania

Najeed Saleh, DMD
Professor of Clinical Restorative Dentistry, Director of Comprehensive Care Clinics, Department of Preventive and Restorative Sciences, University of Pennsylvania School of Dental Medicine, Philadelphia, Pennsylvania

Didier Dietschi, DMD, PhD
Senior lecturer, Department of Cariology & Endodontics, School of Dentistry, University of Geneva, Switzerland; Adjunct Professor, Department of Comprehensive Dentistry, Case Western University, Cleveland, Ohio

Markus B. Blatz, DMD, PhD
Professor of Restorative Dentistry, Chairman of the Department of
Preventive and Restorative Sciences, University of Pennsylvania School of Dental Medicine, Philadelphia, Pennsylvania

References

1. Buonocore MG. A simple method of increasing the adhesion of acrylic filling materials to enamel surfaces. J Dent Res. 1955;34(6):849-853.

2. Fusayama T, Nakamura M, Kurosaki N, Iwaku M. Non-pressure adhesion of a new adhesive restorative resin. J Dent Res. 1979;58(4):1364-1370.

3. Pashley DH, Tay FR, Breschi L, et al. State of the art etch-and-rinse adhesives. Dent Mater. 2011;27(1):1-16.

4. Van Meerbeek B, Yoshihara K, Yoshida Y, et al. State of the art of self-etch adhesives. Dent Mater. 2011;27(1):17-28.

5. Nakabayashi N, Kojima K, Masuhara E. The promotion of adhesion by the infiltration of monomers into tooth substrates. J Biomed Mater Res. 1982;16(3):265-273.

6. Tjäderhane L, Nascimento FD, Breschi L, et al. Strategies to prevent hydrolytic degradation of the hybrid layer – a review. Dent Mater. 2013;29(10):999-1011.

7. Ozer F, Blatz MB. Self-etch and etch-and-rinse adhesive systems in clinical dentistry. Compend Contin Educ Dent. 2013;34(1):12-14, 16, 18.

8. Demarco FF, Corrêa MB, Cenci MS, et al. Longevity of posterior composite restorations: not only a matter of materials. Dent Mater. 2012;28(1):87-101.

9. Unlu N, Gunal S, Ulker M, et al. Influence of operator experience on in vitro bond strength of dentin adhesives. J Adhes Dent. 2012;14(3):223-227.

10. Cobanoglu N, Unlu N, Ozer F, Blatz M. Bond strength of self-etch adhesives after saliva contamination at different application steps [published online ahead of print January 17, 2013]. Oper Dent. 2013. http://dx.doi.org/10.2341/12-260-L.

11. Ferracane JL. Resin-based composite performance: are there some things we can’t predict? Dent Mater. 2013;29(1):51-58.

12. Goldstein GR. The longevity of direct and indirect posterior restorations is uncertain and may be affected by a number of dentist-, patient-, and material-related factors. J Evid Based Dent Pract. 2010;10(1):30-31.

13. Kubo S, Yokota H, Yokota H, Hayashi Y. Challenges to the clinical placement and evaluation of adhesively-bonded, cervical composite restorations. Dent Mater. 2013;29(1):10-27.

14. Opdam NJ, Bronkhorst EM, Loomans BA, Huysmans MC. 12-year survival of composite vs. amalgam restorations. J Dent Res. 2010;89(10):1063-1067.

15. van de Sande FH, Opdam NJ, Rodolpho PA, et al. Patient risk factors’ influence on survival of posterior composites. J Dent Res. 2013;92(suppl 7):78S-83S.

16. Ilie N, Bucuta S, Draenert M. Bulk-fill resin-based composites: an in vitro assessment of their mechanical performance [published online ahead of print April9, 2013]. Oper Dent. 2013. http://dx.doi.org/10.2341/12-395-L.

17. El-Damanhoury H, Platt J. Polymerization shrinkage stress kinetics and related properties of bulk-fill resin composites [published online ahead of print July 18, 2013]. Oper Dent. 2013. http://dx.doi.org/10.2341/13-017-L.

18. Ferracane JL. Placing dental composites—a stressful experience. Oper Dent. 2008;33(3):247-257.

19. Makishi P, Shimada Y, Sadr A, et al. Non-destructive 3D imaging of composite restorations using optical coherence tomography: marginal adaptation of self-etch adhesives. J Dent. 2011;39(4):316-325.

20. Sadr A, Shimada Y, Bista B, et al. Non-destructive non-staining 3D analysis of marginal and internal micro-gaps. Poster presented at: 5th International Congress on Adhesive Dentistry; June 14-15, 2013; Philadelphia, PA. Abstract 84.

21. Nazari A, Sadr A, Shimada Y, et al. 3D assessment of void and gap formation in flowable resin composites using optical coherence tomography. J Adhes Dent. 2013;15(3):237-243.

22. Mair L, Padipatvuthikul P. Variables related to materials and preparing for bond strength testing irrespective of the test protocol. Dent Mater. 2010;26(2):e17-e23.

23. Özcan M, Pekkan G. Effect of different adhesion strategies on bond strength of resin composite to composite-dentin complex. Oper Dent. 2013;38(1):63-72.

24. Blatz MB, Sadan A, Kern M. Resin-ceramic bonding: a review of the literature. J Prosthet Dent. 2003;89(3):268-274.

25. Blatz MB, Sadan A, Maltezos C, et al. In vitro durability of the resin bond to feldspathic ceramics. Am J Dent. 2004;17(3):169-172.

26. Blatz MB, Chiche G, Holst S, Sadan A. Influence of surface treatment and simulated aging on bond strengths of luting agents to zirconia. Quintessence Int. 2007;38(9):745-753.

27. Manso AP, Silva NR, Bonfante EA, et al. Cements and adhesives for all-ceramic restorations. Dent Clin North Am. 2011;55(2):311-332.

28. Stockton LW. Factors affecting retention of post systems: a literature review. J Prosthet Dent. 1999;81(4):380-385.

29. Cheung W. A review of the management of endodontically treated teeth. Post, core and the final restoration. J Am Dent Assoc. 2005;136(5):611-619.

30. Goracci C, Ferrari M. Current perspectives on post systems: a literature review. Aust Dent J. 2011;56(suppl 1):77-83.

31. Menezes M, Faria-E-Silva A, Silva F, et al. Etching a fiber post surface with high-concentration bleaching agents [published online ahead of print July 12, 2013]. Oper Dent. 2013. http://dx.doi.org/10.2341/12-270-L.

32. Dimitrouli M, Geurtsen W, Lührs A. Comparison of the push-out strength of two fiber post systems dependent on different types of resin cements. Clin Oral Investig. 2012;16(3):899-908.

33. Rochette AL. Attachment of a splint to enamel of lower anterior teeth. J Prosthet Dent. 1973;30(4 pt 1):418–423.

34. Ozcan M. Pfeiffer P. Nergiz I. A brief history and current status of metal-and ceramic surface-conditioning concepts for resin bonding in dentistry. Quintessence Int. 1998;29(11):713-724.

35. Albers HF. Metal-resin bonding. Adept Report. 1991;2:29-36.

36. Livaditis GJ. A chemical etching system for creating micromechanical retention in resin-bonded retainers. J Prosthet Dent. 1986;56(2):181-188.

37. Tanaka T, Nagata K, Takeyama M, et al. 4-META opaque resin—a new resin strongly adhesive to nickel-chromium alloy. J Dent Res. 1981;60(9):1697-1706.

38. Tiller HJ. The Kulzer silicoater method. Evaluation from the scientific-materials science viewpoint [in German]. Zahntechnik (Zur). 1986;44(6):498-499.

39. Hummel SK, Pace LL, Marker VA. A comparison of two silicoating techniques. J Prosthodont. 1994;3(2):108–113.

40. Hansson O, Moberg LE. Evaluation of three silicoating methods for resin-bonded prostheses. Scand J Dent Res. 1993;101(4):243–251.

41. Taira Y, Kamada K. Effects of primers containing sulfur and phosphate monomers on bonding type IV gold alloy. J Dent. 2008;36(8):595-599.

42. Kadoma Y, Kojima K, Tamaki Y, Nomura Y. Water durability of resin bond to pure gold treated with various adhesion promoting thiirane monomers. Dent Mater J. 2007;26(1);29-37.

43. Dietschi D, Spreafico R. Current clinical concepts for adhesive cementation of tooth-colored posterior restorations. Pract Periodontics Aesthet Dent. 1998;10(1):47-54.

44. Dietschi D, Herzfeld D. In vitro evaluation of marginal and internal adaptation of class II resin composite restorations after thermal and occlusal stressing. Eur J Oral Sci. 1998;106(6):1033-1042.

45. Dietschi D, Monasevic M, Krejci I, Davidson C. Marginal and internal adaptation of class II restorations after immediate or delayed composite placement. J Dent. 2002;30(5-6):259-269.

46. Magne P. Immediate dentin sealing: a fundamental procedure for indirect bonded restorations. J Esthet Restor Dent. 2005;17(3):144-154.

47. Dietschi D, Olsburgh S, Krejci I, Davidson C. In vitro evaluation of marginal and internal adaptation after occlusal stressing of indirect class II composite restorations with different resinous bases. Eur J Oral Sci. 2003;111(1):73-80.

48. Besek M, Mörmann WH, Persi C, Lutz F. The curing of composites under Cerec inlays [in German]. Schweiz Monatsschr Zahnmed. 1995;105(9):1123-1128.

49. Dietschi D, Marret N, Krejci I. Comparative efficiency of plasma and halogen light sources on composite micro-hardness in different curing conditions. Dent Mater. 2003;19(6):493-500.

50. Park SH, Kim SS, Cho YS, et al. Curing units’ ability to cure restorative composites and dual-cured composite cements under composite overlay. Oper Dent. 2004;29(6):627-635.

51. Frankenberger R, Hehn J, Hajtó J, et al. Effect of proximal box elevation with resin composite on marginal quality of ceramic inlays in vitro. Clin Oral Investig. 2013;17(1):177-183.

52. Zaruba M, Göhring TN, Wegehaupt FJ, Attin T. Influence of a proximal margin elevation technique on marginal adaptation of ceramic inlays. Acta Odontol Scand. 2013;71(2):317-324.

53. Dietschi D, Argente A, Krejci I, Mandikos M. In vitro performance of class I and II composite restorations: a literature review on nondestructive laboratory trials—part I. Oper Dent. 2013;38(5):E166-181.

54. Dietschi D, Argente A, Krejci I, Mandikos M. In vitro performance of class I and II composite restorations: a literature review on nondestructive laboratory trials—part II. Oper Dent. 2013;38(5):E182-200.

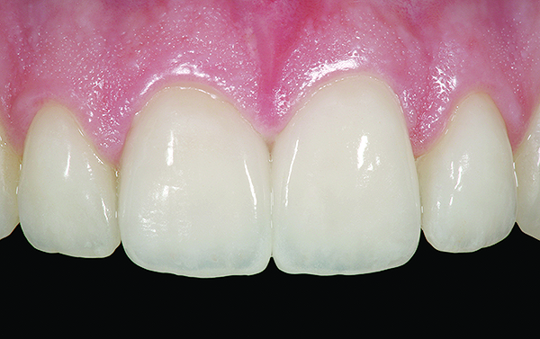
Fig 1. Preoperative intraoral view of failing composite restorations in the two maxillary central incisors. In addition, the patient was dissatisfied with the esthetics of the maxillary incisors.

Fig 2. Postoperative intraoral view after restoration of all maxillary incisors with minimally invasive adhesively bonded porcelain laminate veneers. Clinics by Dr. Markus B. Blatz; dental technology by Cusp Dental Laboratory, Boston, MA.

Fig 3. Diagrammatic illustration of a modern concept for “Indirect Adhesive Restorations in the Posterior,” presented by Dr. Didier Dietschi. The different layers indicate the concepts of dual bonding/immediate dentin sealing (IDS), cavity design optimization (CDO), and cervical margin relocation (CMR).

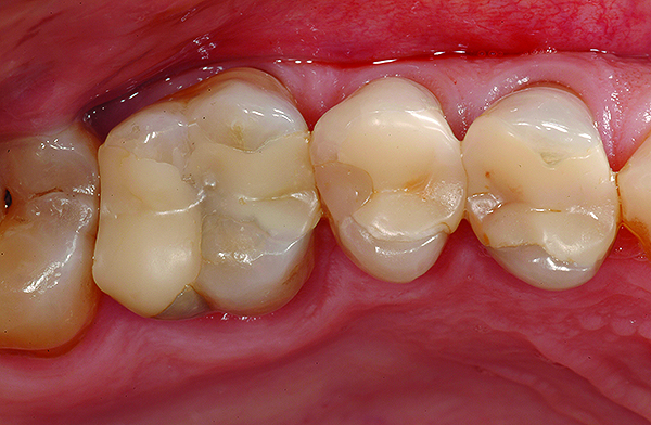
Fig 4. Preoperative view of defective tooth-colored restorations. Improper adaptation and open margins necessitate replacement.

Fig 5. Situation after removal of the failing restorations. Recurrent caries involved proximal areas, leading to extensive proximal cavities. The remaining enamel is very thin or even absent along the cervical margins. A direct approach is not indicated due to cavity dimensions, margin position, and dentin quality.

Fig 6. A curved metal matrix is placed and fitted precisely along cervical margins. A highly filled flowable composite is applied to relocate the proximal margin and fill all undercuts.

Fig 7. All cavities were lined (dentin bonding agent and flowable composite). Enamel margins were refinished, and cavities are ready for final impression.

Fig 8. Pressed and stained lithium disilicate ceramic restorations on the master cast.

Fig 9. Cementation with a light-cure composite material (typically a microhybrid).

Fig 10. Definitive restorations. The restorative approach ensures optimal biologic and physical integration for predictable and reliable results. Clinics by Dr. Didier Dietschi.

Fig 1. Preoperative intraoral view of failing composite restorations in the two maxillary central incisors. In addition, the patient was dissatisfied with the esthetics of the maxillary incisors.

Figure 1

Fig 2. Postoperative intraoral view after restoration of all maxillary incisors with minimally invasive adhesively bonded porcelain laminate veneers. Clinics by Dr. Markus B. Blatz; dental technology by Cusp Dental Laboratory, Boston, MA.

Figure 2

Fig 3. Diagrammatic illustration of a modern concept for “Indirect Adhesive Restorations in the Posterior,” presented by Dr. Didier Dietschi. The different layers indicate the concepts of dual bonding/immediate dentin sealing (IDS), cavity design optimization (CDO), and cervical margin relocation (CMR).

Figure 3

Fig 4. Preoperative view of defective tooth-colored restorations. Improper adaptation and open margins necessitate replacement.

Figure 4

Fig 5. Situation after removal of the failing restorations. Recurrent caries involved proximal areas, leading to extensive proximal cavities. The remaining enamel is very thin or even absent along the cervical margins. A direct approach is not indicated due to cavity dimensions, margin position, and dentin quality.

Figure 5

Fig 6. A curved metal matrix is placed and fitted precisely along cervical margins. A highly filled flowable composite is applied to relocate the proximal margin and fill all undercuts.

Figure 6

Fig 7. All cavities were lined (dentin bonding agent and flowable composite). Enamel margins were refinished, and cavities are ready for final impression.

Figure 7

Fig 8. Pressed and stained lithium disilicate ceramic restorations on the master cast.

Figure 8

Cementation with a light-cure composite material (typically a microhybrid).

Figure 9

Fig 10. Definitive restorations. The restorative approach ensures optimal biologic and physical integration for predictable and reliable results. Clinics by Dr. Didier Dietschi.

Figure 10

CREDITS: 0
AGD CODE: 10 - Dental Materials
COST: $0
PROVIDER: Conexiant Education
SOURCE: Compendium of Continuing Education in Dentistry (Suppl) | Nov/Dec 2013

Learning Objectives:

  • Discuss the use of composite resins for direct restorations.
  • Explain the nature of the adhesive resin bond to dental materials.
  • Describe the most common clinical problems with bonded indirect posterior restorations.

Disclosures:

The author reports no conflicts of interest associated with this work.

Queries for the author may be directed to justin.romano@broadcastmed.com.